大腿骨頚部骨折の闘病日記

手術日+789日目 2026/4/27(月)(多発骨折の患者)

午前の病院での仕事昨日の昼間は, 当院が整形外科の当番だったので, 新規患者さんが入院しているかと考えて, 早めに出勤しました.8時前に病棟に上がって, 電子カルテを開いたところ, 新規の患者さんの入院はなし.8時から朝の病棟回診.金曜日の...
大腿骨頚部骨折の闘病日記

手術日+788日目 2026/4/26(日)(こどもの引っ越し2日目)

買い物8時過ぎに起床.急いで, 着替えて, 朝食後, 9時過ぎにホテルをチェックアウト.ホテルの駐車場は, 昨晩満車でしたが, すでにほとんどのクルマが出払っていました.こどものアパートにクルマで移動.食器類や衣服の荷解作業を行った後, 今...
大腿骨頚部骨折の闘病日記

手術日+787日目 2026/4/25(土)(こどもの引っ越し1日目)

午前の病院での仕事起きたのは, 8時過ぎ.炬燵で眠ってしまいました.急いで朝食を摂って, 妻と一緒に病院へ.昨日深夜〜本日未明に手術を行った上腕骨外顆骨折の子供の経過を診に行くためでした.9時前に病院に到着.妻にはクルマで待機してもらいまし...
大腿骨頚部骨折の闘病日記

手術日+786日目 2026/4/24(金)(小児上腕骨顆上骨折の緊急手術)

午前の病院での仕事今朝は, 昨日の雨とはうって変わって良い天気.最高気温は20 ℃以上と天気予報では告げていました.残念なことに,  蔵王温泉スキー場の中央ゲレンデは, 融雪が進んで, 今日が最終日という情報がXで流れてきました.このまま,...
大腿骨頚部骨折の闘病日記

手術日+785日目 2026/4/23(木)(新入医師歓迎会)

午前の病院での仕事8時前に病棟に.昨日手術が行われた患者さん2人(変形性膝関節症に対する人工膝関節全置換術, 変形性膝関節症に対する脛骨近位骨切り術後の骨内異物除去術)の経過を確認.お二人とも問題なく経過されていました.8時から朝の病棟回診...
大腿骨頚部骨折の闘病日記

手術日+784日目 2026/4/22(水)(経常黒字)

午前の病院での仕事今朝は, 快晴.街路樹も萌葱色の葉を茂らせつつあります.8時前に病院に.8時から朝の病棟回診.8時半過ぎから外来診療を開始.31人の患者さんを診療しました.12時半に終了.午後に日帰り手術を行う患者さんに麻酔と手術の説明を...
大腿骨頚部骨折の闘病日記

手術日+783日目 2026/4/21(火)(静脈性血管瘤)

午前の病院での仕事今朝は, 曇.雲が厚く, 部屋の中が薄暗かったので, 電灯を点けました.雨の予報ですが, 午後には上がるとのこと.8時前に病棟に上がって, 8時から朝の病棟回診.昨日, 足関節部の神経鞘腫を摘出した患者さんは, つま先を曲...
大腿骨頚部骨折の闘病日記

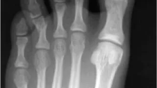
手術日+782日目 2026/4/20(月)(指骨骨髄炎)

午前の病院での仕事今朝は晴れ.気温は, 13 ℃と低めでした.8時前に病棟に上がって, 電子カルテを確認.昨晩は, 当院が整形外科の救急輪番でしたが, 救急車はゼロでした.夜勤だった後輩整形外科から電話連絡があり.隣の市から橈骨遠位端骨折の...
大腿骨頚部骨折の闘病日記

手術日+781日目 2026/4/19(日)(こどものクルマの納車)

こどものクルマの納車今日は, こどものクルマの納車のため, 福島へ.トヨタカローラ福島 会津店.トヨタカローラ福島で購入した中古車が整備と登録を終えて, 納車されました.雪国なので4WD(E-Four), 昨今のガソリン高値を考えて, ハイ...
大腿骨頚部骨折の闘病日記

手術日+780日目 2026/4/18(土)(休日出勤)

午前の病院での仕事昨日大腿骨転子部骨折に対する手術を行った後期高齢患者さんの状態を確認するために, 9時に出勤.病室を訪問して, 創部を確認しましたが, 出血はほぼなし.血液検査の結果, 貧血もなく, 今日から立って歩くリハビリを開始します...