骨折

大腿骨頚部骨折の闘病日記

手術日+681日目 2026/1/9(金)(ストレンジャー・シングス)

午前の病院での仕事今朝は降雪があり, うっすらとクルマに雪が積もっていました.道路はノロノロ運転のクルマが多く, いつもよりも通勤に時間を要しました.8時前に病棟に上がって, 電子カルテを確認.昨晩は, 当院が整形外科の救急輪番日.上腕骨骨...
大腿骨頚部骨折の闘病日記

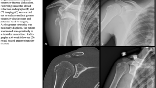
手術日+680日目 2025/1/8(木)(立方骨骨折)

午前の病院での仕事今日は曇り空.冷え込みが厳しく, 駐車場のクルマは凍っていました.8時前に病棟に上がって, 昨日後輩の執刀で人工膝関節全置換術が行われた患者さんの経過を確認.問題なく経過されていました.8時から朝の病棟回診.8時半に外来に...
大腿骨頚部骨折の闘病日記

手術日+679日目 2026/1/7(水)(手術中止)

午前の病院での仕事今日は, 雲ひとつない快晴.寒気と放射冷却の影響で冷え込み, クルマの外気温モニターは−4 ℃ を示していました.通勤路は, 慎重に走るクルマが多く, いつもよりやや時間がかかりました.8時前に病棟へ.昨日, 後輩医師が施...
大腿骨頚部骨折の闘病日記

手術日+678日目 2026/1/6(火)(急性仙腸関節炎)

ネコの足跡「雪が積もっているよ」という妻の声で目が覚めました.外を見ると, 3cmほどの積雪.着替えを済ませ, クルマの雪下ろしのため外へ出ると, 家の前を横切った足跡が目に入ります.庭にフン害をもたらしているネコかどうかは分かりませんが,...
大腿骨頚部骨折の闘病日記

手術日+672日目 2025/12/31(水)(大晦日・年越し)

午前の病院での仕事昨晩は少し飲み過ぎてしまい, 起床は8時過ぎ.朝食は, 妻の実家でつかれたお餅を磯辺巻きでいただきました.今日は, こどもとスキーに行く予定.妻は膝の痛みがあり, お休みです.こどもはまだ起きてこない様子だったので, 「先...
大腿骨頚部骨折の闘病日記

手術日+671日目 2025/12/30(火)(最終日も大忙し)

午前の病院での仕事今朝も晴れ. 気温は1 ℃と, この時期らしい冷え込みでしたが, 予報では日中12 ℃まで上がるとのこと.やはり今冬は暖冬傾向です.通常通りに出勤.道路は驚くほど空いていました.8時から朝の病棟回診.8時半からのカンファラ...
大腿骨頚部骨折の闘病日記

手術日+670日目 2025/12/29(月)(アバター)

午前の病院での仕事今朝のクルマの外気温モニターは, −4 ℃.今朝は雲ひとつない快晴.放射冷却で冷え込み, 朝の気温は −4 ℃.今季一番の低温でした.絶好のスキー日和.1年前の今日は, マッターホルンを眺めながら滑っていましたが, 今年は...
大腿骨頚部骨折の闘病日記

手術日+667日目 2025/12/26(金)(重症筋無力症)

午前の病院での仕事今朝は非常に風が強く, みぞれ交じりの雨. 気温は5 ℃でしたが, 体感温度はそれ以下に感じました.8時前に病棟へ. 昨日入院した大腿骨転子部骨折の前期高齢患者さんを訪室しました. 前日は高度貧血で顔色が悪かったのですが,...
大腿骨頚部骨折の闘病日記

手術日+666日目 2025/12/25(木)(パニック値)

午前の病院での仕事と大腿骨転子部骨折の急患昨晩の雨は上がり, 朝の気温は8 ℃とこの時期としては高め.出勤途中は深い霧に包まれ, 視界は真っ白でした.8時から朝の病棟回診.昨日, 肋骨骨折で入院されたパーキンソン病の高齢患者さんは, 痛みも...
大腿骨頚部骨折の闘病日記

手術日+665日目 2025/12/24(水)(手指外傷)

午前の病院での仕事と多発肋骨骨折の患者今朝は厚い雲に覆われた空.天気予報は雨でした.8時前に病棟へ上がり, 朝の回診.多発外傷で入院中の超高齢患者さんが嘔吐し, 吐物に血液が混じっているとの報告がありました.ストレス潰瘍を疑い, 絶食とし,...