午前の病院での仕事
今朝は, 曇.
雲が厚く, 部屋の中が薄暗かったので, 電灯を点けました.
雨の予報ですが, 午後には上がるとのこと.
8時前に病棟に上がって, 8時から朝の病棟回診.
昨日, 足関節部の神経鞘腫を摘出した患者さんは, つま先を曲げる力は正常, 踵に少ししびれ感があるものの, 手術前よりは軽減しているとのことでした.
遠隔地から来られたので, 明日の午前中に退院することに.
8時半からカンファランス.
今朝は, 医療工学士さんの講義で, 未破裂脳動脈瘤に対する新しい血管内治療の演題でした.
コイル以外に新しいデバイスが使われていることを知りました.
9時前に外来に降りて, 外来診療を開始.
9時から医学部の学生実習生に対する講義.
病院の紹介と, 実習のガイダンスを行いました.
9時半前に外来に戻って, 午前中は30人の患者さんを診療しました.
手部静脈性血管瘤の患者
手に腫瘤のある患者さんの手術を行ってもらいたいと大学病院からの紹介で中高年の患者さんが来院.
紹介状では, 表皮嚢腫が疑われると記述されていました.
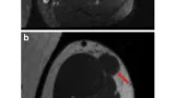
診察すると, 手のひらの小指側に2 cm大の腫瘤が存在.
持参されたMRIを見ると, 皮膚からは離れた筋肉の表面近くにある腫瘤だったので, 表皮嚢腫ではないと診断.

T1強調画像 (A)で, 腫瘤内部の表面近くが白く写り, 中央が黒く写るのが特徴的な所見です.
特徴的な写り方からは, 静脈性血管瘤(venous aneurysm)が疑われました.
静脈性血管瘤は, 孤立性の静脈拡張と定義される稀な疾患です.
下肢の深部静脈に生じた瘤は, 肺動脈血栓塞栓症の原因となるため, 積極的に手術療法が行われ, 瘤縫縮ないし瘤切除+血行再建が推奨されています.
一方, 表在静脈に生じた瘤は, 重篤な合併症を併発することは稀であるため, 美容的な理由, 痛み, 腫脹などの症状がある場合に手術が行われ, その多くは切り取るだけ(単純切除)です.
この患者さんは, 一時期痛みがありましたが, 現在は無症状でした.
しばらく外来で経過を観察させていただき, 隆起が変わらないようであれば, 手術を行う方針としました.
12時半に外来診療を終了.
病棟の仕事を30分ほど行った後, 昼休みとしました.
午後の病院での仕事
14時に外来に戻って, 5人の患者さんを診療.
15時過ぎから病棟の仕事.
退院患者さんの退院時サマリを書いたり, 紹介状を作成したり, 書類作業がメインでした.
16時半から夕方の病棟回診.
入院患者さんは80人, 自分が主治医となっているのは38人でした.
17時前に病院を出ました.
事務作業を終える
17時半前に病院外の事務所に出かけて, 事務作業を開始.
1時間半ほどで, 今月のノルマを終了しました.
来月も下旬に同様の作業がありますが, 神戸市で開催される第99回日本整形外科学会学術総会の日程とかぶるので, 学会の翌週に2日間で終わらせなければいけません.
週末の引っ越しの予定
帰宅後, 夕食.
今晩は, 餃子, アスパラガスとちくわの炒め煮などでした.
会津若松のこどもと連絡を取って, 土曜日の10時から引っ越し作業を開始することになりました.
翌日も引っ越し作業を手伝うため, 夜は会津若松市内に宿泊するようにホテルを予約してあります.
夕食も一緒に摂ることにして, ホテルの近くの居酒屋を予約しました
自転車トレーニング
食休み後, 21時から自転車トレーニング.
今日は, リカバリ走40分でした.
心拍数が110回/分くらいとなるようにキープして, ペダルを回しました.


コメント