午前の病院での仕事
今朝は, 昨日から一転, 肌寒く, どんよりとした曇り空.
天気予報では, 午後に雨が降るかもとのこと.
傘を持って出勤しました.
8時前に病棟に上がって, 昨日手術を行った患者さん2人の経過を確認.
問題なく経過されていました.
8時から朝の病棟回診.
8時半からカンファランス.
今朝は, リハビリスタッフによる診療報酬改訂のポイントと点数アップの解説でした.
9時からは, 医学部学生さんに対するガイダンスの講義.
新学期が始まったばかりの春のせいか, 居眠りしている学生もいました.
9時半に外来に降りて, 午前中は39人の患者さんを診療.
急性呼吸促迫症候群と人工呼吸
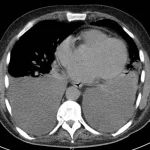
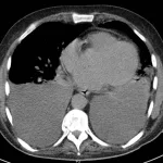
昼過ぎに, 胸水が貯留しており, アルブミンと利尿薬を投与して治療中の超高齢患者の血中酸素飽和度が80 %台(通常は, 95 %以上)に低下して, 140 回/分台の頻脈となっていると病棟から連絡.
病室を訪れると, 血中酸素飽和度は60 %台に低下しており, 息苦しさのために不穏状態でした.
すぐに人工呼吸を始めることを決定し, 気管にチューブを挿入して, 人工呼吸器に接続したところ, 酸素飽和度は100 %に改善しました.
血液検査の結果では, 血中アルブミンは2.9 g/dLに改善していた一方, 白血球数とC反応性タンパクが増加しており, 炎症反応が陽性でした.

胸部X線写真を撮ったところ, 昨日より胸水は減っていましたが, 両肺が真っ白になっており, 急性呼吸促迫症候群(Acute Respiratory Distress Syndrome: ARDS)と診断.
昨日から38 ℃台の発熱があり, 肺炎などの感染症, あるいは低アルブミン血症に対して投与したアルブミンに対するアレルギー反応などを疑いましたが, 原因はハッキリしません.
家人に電話して, 至急病院に来ていただくように連絡しました.
家人が到着後, 病状を説明.
人工呼吸器で呼吸管理を行っていくことを説明.
高齢なので, 治療が奏効せず, 死亡する可能性が高いことも告げました.
軟部腫瘍の針生検
13時半に外来に戻り, 午後に肩の筋肉内腫瘍に対する針生検を行う中高年患者さんに麻酔と手術の説明.
腎細胞癌, 多発肺転移の既往があり, 腎細胞癌の筋肉内転移が疑われました.
しかし, 発症から10カ月位経過しており, 腫瘍の大きさが3 cm弱と小さいため, 担当の泌尿器科ドクターとも協議した結果, 診断確定のために針生検を行う方針としました.
14時から午後の外来を開始.
7人の患者さんの診療を行いました.
患者さんの検査結果が出るまでの診療の合間に手術部に移動.

引用元:Wildman‑Tobriner B. Needle types used in abdominal cross‑sectional interventional radiology: a survey of the Society of Abdominal Radiology emerging technology commission. Abdom Radiol (NY). 2022. 47.
当科では, 軟部組織の針生検には, ARGON Medical Devices社のBioPince® Ultra Full Core Biopsy Instrumentの16G(ゲージ:針の太さ), 15 cm使用しています.
大学病院勤務時から各社の生検針を比較使用した結果, これを選択しました.
失敗が少なく, 確実に腫瘍のコアをたくさん採取できる優れた生検針です.

aはサイドカット針で, 半円柱状の組織を採取します.
bはフルカット針で, 円柱状の組織を採取します.
生検針には, 大きく分けて, サイドカット生検針(上図a)とフルカット生検針(上図b)があります.
サイドカット針は, 半円柱状(かまぼこ状)の組織を採取するのに対して, フルカット針は円柱状の組織を採取できるため, より多くの組織を採取できます.

フルカット針の方が診断価値の高いきれいで一塊の(バラバラでない)多くの組織が採取されています.
一方, サイドカット針では, 組織がバラバラに分かれてしまい, 少ない組織しか採取できません.
肝臓に対する針生検において, サイドカット針とフルカット針を比較検討した研究では, フルカット針の方が, サイドカット針よりも, より多くのきれいな組織を採取でき, 診断精度の向上に役立つことが明らかにされています.
とういことで, 針生検を受けられる方は, どのような生検針を使って検査が行われるのかを担当医に確認し, フルカット針を用いて実施していただくように要望した方がよいです.
肩の筋肉にある腫瘍に生検針を刺し入れて, 予定通りに腫瘍のコアを3本採取しました.
外来に戻り, 外来診療の続きを行って, 16時に終了.
合間には, 今週金曜日に大腿骨頚部骨折に対する人工骨頭挿入術の臨時手術を行う超高齢患者さんの家族に手術説明を行いました.
16時過ぎにようやく昼休み.
自分の部屋に戻って, 10分ほどで昼食を摂りました.
殿部痛の急患
脳外科のドクターから脳梗塞後遺症で通院中の中高年患者さんが腰痛で動けなくなっているので診てもらいたいと連絡あり.
病棟の回診後に診察すると返事しました.
15時半前に病棟に上がって, 人工呼吸を開始した患者さんの状態を確認.
酸素飽和度は100 %だったので, 人工呼吸器の酸素濃度を下げました.
16時半すぎから夕方の病棟回診.
入院患者さんは84人, 自分が主治医となっているのは44人でした.
17時過ぎに外来に戻って, 脳外科から依頼のあった患者さんを診療.
先週土曜日に転倒してから殿部痛があり, 当日後輩の整形外科クリニックを受診したところ第4腰椎の骨折を指摘されたとのことでした.
しかし, 脳外科医師がオーダーした腰椎MRIを見たところ, 第4腰椎は旧い骨折の跡で, その他に異常なし.
実際に, 患者さんの腰を圧しても痛みはありませんでした.
圧すと痛みがあるのが仙骨だったので, 仙骨の骨折を疑ってCTをオーダー.
結果は, 骨折なし.
独り暮らしで動けないので入院していただくことにしました.
明日改めて骨盤のMRIを撮像し, X線写真やCTには写らない不顕性骨折かどうかを検査します.
入院時の検査や入院後の指示を電子カルテに入力して, 19時前にようやく今日の仕事を終了.
盛りだくさんの1日でした.
外に出ると, 病院の敷地内の桜も大分散って, 緑の葉が出ていました.
居眠り
夕食後, 自転車トレーニングをするつもりでしたが, 日中の疲れがドッと出たようで, 炬燵で居眠り.
起きると22時過ぎだったので, 今日はお休みにしました.




コメント