午前の病院での仕事
昨晩, 寒いと感じたら, 今朝は雪が1 cmほど積もっていました.
しかし, 海沿いの地域の雪で, 山の方にはあまり降らなかったよう.
道路の雪はすっかり溶けて, 通常通りに出勤.
8時前に病棟に上がって, 昨日緊急手術を行った患者さんの病室を訪問.
手指は普通に動かせていて, 感覚障害もなく, やはり神経損傷はないようでした.
8時から朝の病棟回診.
8時半前に外来に降りて, 外来診療開始.
9時からは, 医学部学生さんの実習前のミニ講義とガイダンス.
9時半前に外来に戻って, 39人の患者さんを診療しました.
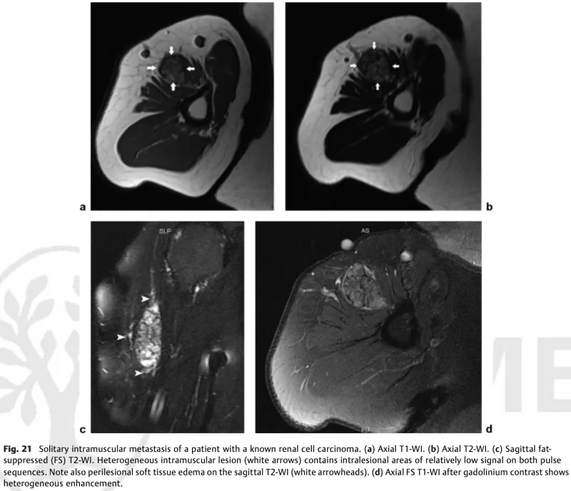
腎癌筋肉内転移

T1強調像8a0では, 筋肉より少し白っぽく, T2強調像(b)では白く, 脂肪抑制下T2強調像では, 白黒混合の不均一な像を示します.
引用元:Vanhoenacker FM. Soft tissue tumors about the shoulder.Semin Musculoskelet Radiol 2015. 19.
昨日受診した, 腎癌筋肉内転移が疑われる患者さんの造影MRIを確認.
やはり転移が疑われましたが, 良性の血管性腫瘍など, 他の病変も疑われます.
生検を行うか, 摘出術を行って病理検査を行うかですが, 腎癌は血流が豊富なので, 生検で針を刺すと出血して, 腫瘍を拡げてしまう危険性があります.
一方, 摘出手術では, 正常な筋肉も一部切り取る必要があり, また, 筋肉の表面と深部を通る神経(腋窩神経)を傷つける危険性があります.
患者さんは, 現時点で肺に転移があり, 経過を観察されているので, 泌尿器科のドクターに余命見込み等を照会して, その結果を診て検査方針を立てることにしました.
12時半に終了.
引き続き, 貯まった書類の処理に13時過ぎまでかかりました.
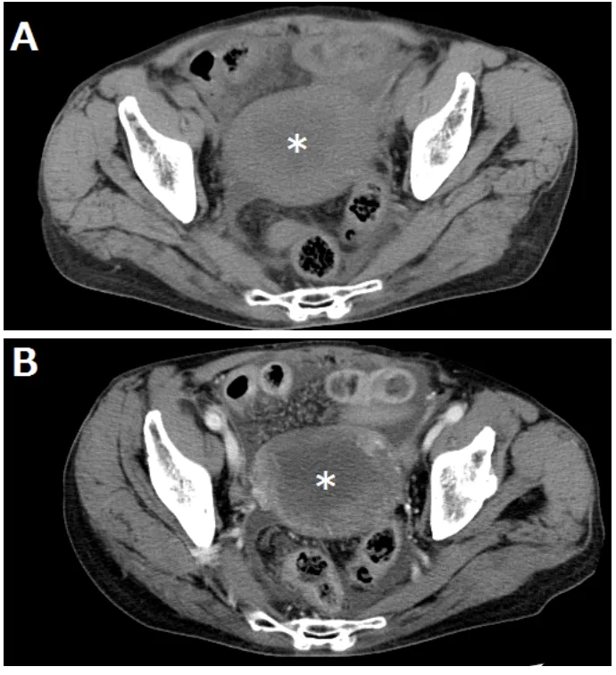
子宮留膿腫の患者
昨日のブログが盛りだくさんだったので, 記述できませんでしたが, 昨日回診したところ, 大腿骨頚部骨折手術後の後期高齢患者さんから,
「昨日から発熱と腹痛があって, 大便をしたら, 便器に血が出たので心配だ」
という訴えがありました.
血液検査の結果, 貧血はありませんでしたが, 白血球が12,000/mm3, CRPが21 mg/dLと炎症反応が高値でした.

造影CTでは, 子宮の壁側が造影されて, 中央の膿は造影効果がありません.
引用元:勝又. 造影CT検査が診断に有用であった子宮留膿症穿孔の2症例. 静岡産科婦人科学会雑誌. 2015. 4.
熱源検索のために, 全身の造影CTを撮像したところ, 腸には異常なし, 子宮の中に造影される病変を認めました.
子宮留膿腫を疑って, 抗菌薬セフメタゾールを開始.
婦人科で診ていただくことにしましたが, 当院には, 婦人科がないため, 病診連携室で受診先をさがしてもらうことになりました .
午後の病院での仕事
14時に外来に戻って, 4人の患者さんを診療.
14時半に手術部に.
足趾が壊疽した後期高齢患者さんの切断術でした.
後輩医師に執刀してもらい, 助手をつとめました.
予定通りに40分ほどで終了.
その後, 外来に戻って, 紹介で受診された高校生の患者さんを診察.
X線写真からは, 骨折を合併した第5足趾基節骨の内軟骨腫が疑われました.
明日, MRIを撮像して, 診断することにしました.
16時にアポイントメントがあった大学の後輩医師と面談.
3月で大学を辞めて, 他の病院に就職するそうですが, 当科でも外来診療を行いたいとのご要望でした.
ドクターが増えるのは, ウエルカムです.
新しい職場に慣れてから, 5月以降, 毎週当科で外来診療や手術を行っていただくことにしました.
ドクターのリクルートも大事な仕事です.
16時半からは, 薬剤部と委員会.
17時前から夕方の病棟回診.
入院患者さんは90人, 自分が主治医となっているのは45人に増えました.
回診中, ある病棟の新型コロナ感染の患者さんが増えて, 患者さん9人, 病棟スタッフ5人となりました.
自転車トレーニング
17時半過ぎに帰宅.
久々に自転車トレーニング.
今日のメニューは, リカバリー45分でした.
心拍数が上がらないように, ゆっくりペダルを回しました.
入浴後, 夕食.
今晩は, ハンバーグでした.
その後, 別府から送った荷物に入っていた大分のお菓子ざびえる, ザボン漬けなどを食べながら, 大分のブログ記事を書きました.


コメント