手術日+770日目 2026/4/8(水)(新入職員歓迎会)

午前の病院での仕事

今朝は快晴.
雲ひとつない春晴れでした.

8時前に病棟に.
昨日手術が行われた2人の患者さん(膝内側半月板損傷に対する関節鏡下半月板縫合術, 膝関節前十字靭帯損傷に対する関節鏡下前十字靭帯再建術)の経過を確認.
お二人とも問題なく経過されていました.

8時から朝の病棟回診.
昨日人工呼吸を始めた急性呼吸促迫症候群の患者さんは, 酸素飽和度が100 %だったので, 酸素濃度を下げました.

9時前に外来に降りて, 外来診療.
32人の患者さんの診療を行いました.

12時半に外来診療を終了.
引き続き午後に日帰り手術を行う患者さん2人に麻酔と手術について説明しました.

午後の病院での仕事

昼食後, 13時半前に手術部に.

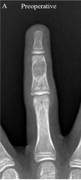
中指の中節骨に生じた内軟骨腫のX線写真.

引用元:Kang SJ. Differences in outcomes based on the degree to which bone defects are filled with cancellous allochip bone grafts in hand enchondroma patients. Cancers (Basel) 2024. 16.


1件目の手術は, 中指の中節骨に生じた内軟骨腫という軟骨性良性腫瘍の切除術でした.
骨にドリルで孔を開けた後, 腫瘍を鋭匙という器具で掻き出してから, 人工骨を詰めます.
当科では, 空洞に詰める人工骨にレボシス-Jという綿状の人工骨を使っています.
顆粒状の人工骨と違って, 小さな孔を開けた骨に詰め込みやすいのが特徴です.
予定通り, 30分弱で終了.

続いて2件目の手術は, 背中に生じた脂肪腫という良性脂肪性腫瘍の摘出術でした.
当科では10 cmまでの脂肪腫は, 局所浸潤麻酔で日帰り手術を実施しています.
今日の患者さんの腫瘍は4 cm弱と小さかったので, 日帰りの手術としました.
こちらも予定通り40分強で終了.

その後は, 病棟の仕事を片付けました.
16時半から夕方の病棟回診.
入院患者さんは83人, 自分が主治医となっているのは44人でした.

グループ新入職員歓迎会

19時からグループの新入職員歓迎会があったので, 会場のホテルに移動.
今年は, グループ全体で560人あまりの新入職員を迎え入れました.

理事長の挨拶から始まり, ご来賓からのご挨拶などをいただいた後, 乾杯.
大学を辞めて就職した後輩医師の元に行って, 歓迎の挨拶をしました.

医師, 看護師, リハビリスタッフ, 事務など各施設, 部門ごとに新入職員が登壇して, 挨拶の言葉をのべられました .
当院にも4月から新しいドクター, 看護師, リハビリスタッフが入職され, お酒を注いで回りました.

昨日から日中仕事が立て込んでいて疲れが溜まっていたようで, ビール, ワインを飲み過ぎて, 帰りのバスでは居眠りしていまいました.

帰宅後は, 炬燵で寝落ち.
気がついたら, 朝の5時でした.

コメント

タイトルとURLをコピーしました