午前の病院での仕事
昨晩, 雨が降ったようで, クルマは濡れていました.
8時前に病棟に上がって, 電子カルテを確認.
土曜日は, 当院が整形外科の救急輪番.
施設内で転倒して, 大腿骨頚部骨折を受傷された超高齢患者さんが1人入院していました.
認知症以外に既往はなく, 明日, 家人に病状を説明して, 手術するかしないかを決めてもらいます.
8時から朝の病棟回診.
昨日, 胸椎と腰椎の椎体骨折で入院中の超高齢患者さんが息苦しいと訴えており, 血液中の酸素飽和度が80 %台に低下したので, 酸素をマスクで投与したところ, 90 %台後半に改善していますという報告が病棟からありました.
元々, 慢性腎臓病で内科で治療中であり, 先週, 尿路感染を発症したため, 輸液と抗菌薬を開始しましたが, 食事を少量しか摂れなくなっていました.
おそらく, 食事を摂らないので, 血液中のタンパク質が減った結果, 胸の中に水が貯まって, それによって肺が拡がらなくなり, 血液中の酸素飽和度が低下していると判断して, 血液検査と胸部CTをオーダーしました.
8時半から朝礼.
4月から入職した職員の自己紹介がありました.
その後, 管理者として歓迎の言葉を述べました.
9時前に外来に降りて, 19人の患者さんを診療.
合間に, 病棟の患者さんの検査結果を確認.
血液中の総タンパク質は, 5.0 g/dL(基準値:6.5〜8.1 g/dL), アルブミンは2.0 mg/dL(基準値:3.6〜5.3 g/dL)といずれも低下していました.

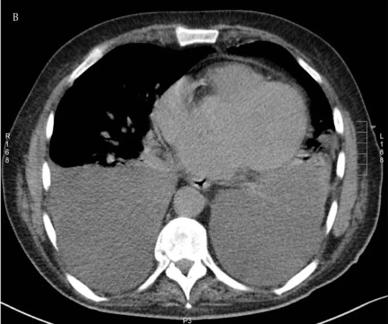
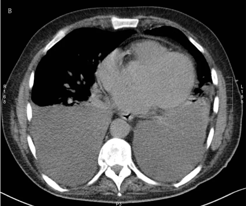
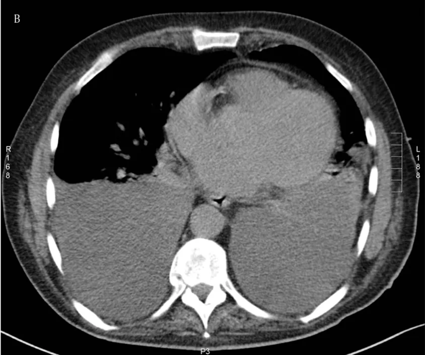
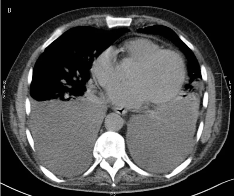
本来は, 空気が入っていて, 黒く写る肺の背中側(画面の下側)に灰色に写る水(胸水)が貯まっており, それによって肺が半分ほどしか写らなくなっています.
胸部CTでは, 両側に大量の胸水が貯まっていました.
献血アルブミンを投与して, 血液中のアルブミンを増やし, 尿を増やす薬(利尿薬)であるフロセミドを投与して, 胸水を減らすように指示を出しました.
12時前に終了.
午後に2件の手術があったので, 病棟に上がって, それぞれの手術説明を行いました.
13時に自分の部屋に戻って昼食.
窓から外を見ると, 桜は満開を過ぎて, もう散り始めていました.
午後の病院での仕事
13時半前に手術部に移動.
13時半から手術を執刀.
1年前に足のリスフラン関節の脱臼骨折に対する整復固定術を行った患者さんに対する骨内異物除去術でした.
幸い, 手術後の経過は良好で, 痛みもなく, 普通に歩けるようになっていました.
前回の手術で切開した部分を開けて, プレートとネジと鋼線を抜きました.
ネジが2本折れていて, それらを抜くには, 再度関節を脱臼させないといけないため, 抜かずに置くことに.
後ほど, 患者さんに折れたネジが抜けなかったことを説明しました.
後輩研修医の指導
引き続き, 15時から腕の筋肉の中に生じた神経鞘腫を摘出する手術.
今月から, 将来, 骨・軟部腫瘍を専門にしたいと希望している整形外科医が研修に来ることになったので, 私の指導下に執刀してもらいました.

神経鞘腫の手術では, 腫瘍を切り取らずに, 神経を切開して, 腫瘍だけをくり抜く操作(核出)が必要です.
神経上の切開部の決め方, 神経刺激装置の使い方, 神経上膜を切開する範囲, 被膜と腫瘍とを分けていく手技など, 教科書には書かれていないコツを教えました.
多少, 手の震えるところはありましたが, 概ね落ち着いて手術を進めており, 合格点をあげました.
16時半から夕方の病棟回診.
入院患者さんは88人, 自分が主治医となっているのは45人でした.
回っていると, 気温が高いせいか, 少し汗ばみました.
さらに貯まっていた病棟の仕事を片付けたところ, 19時前までかかりました.
桜吹雪
19時過ぎに帰宅.
自宅の前には桜の木が並んでいますが, そこから散った桜の花びらが駐車場に落ちていました.
今年は, 暖冬だったため, スキーシーズンも短く, 桜の季節もあっという間に過ぎ去りそうです.



コメント