午前の病院での仕事
今朝は快晴,
最低気温2℃, しかし最高は15℃予報.
春の気配とともに, スキーシーズンの終わりも見えてきました.
8時前に病棟へ.
敗血症性ショックで治療していた患者さんは血圧が安定.
昇圧薬ノルアドレナリンの中止を指示しました.
CRPも3.4 mg/dLまで低下.
抗菌薬が奏効していることを確認でき, ようやく胸を撫で下ろしました.
昨日は, 当院が整形外科の救急輪番.
大腿骨転子部骨折の後期高齢者, 足関節外果骨折の中高年患者さんが入院していました.
8時の回診では, 院内の新型コロナクラスターが完全に解消したことを確認.
隔離患者さんはゼロになりました.
8時半から朝礼と幹部ミーティング.
感染が警戒レベルに拡大中のインフルエンザB型への警戒継続を申し合わせました.
9時前に外来に降りて, 午前中は33人の患者さんを診療.
大腿部切創の急患
12時半, 外来診療の終了直後に救急外来から連絡.
仕事中にカッターで大腿部を切創した患者さんを外科で受け入れたものの, 当院で処置が可能か評価してほしいとの依頼.
救急室へ急行.
ストレッチャーは血で赤く染まり, 血圧は60 mmHg台.
大量輸液中で, 外科医が創部を圧迫して, 止血していました.
救急隊の話では, 皮膚と皮下脂肪を切っただけとの情報で, 引き受けたそうです.
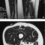
エスマルヒ(ゴム製の帯)で大腿部を圧迫してから, 創内を確認.

縫工筋(5. Sartorius m.)のすぐ深部には, 大腿動脈と静脈(4. Femoral a and v.)が走行しており, その深部には, 内側広筋(2. Vastus medialis m.)があります.
すなわち, 縫工筋と内側広筋が切れて, 大腿骨に達しているキズでは, 大腿動脈と静脈が切れている可能性が高いです.
引用元:Image from Anatomy Atlases (www.anatomyatlases.org)
血圧が低下したためか, 創内からの出血は認めず.
大腿部内側の筋肉(縫工筋, 内側広筋)が切れて, 大腿骨にまで達していました.
部位と深さからは, 大腿動静脈が切れている可能性が高いと判断し, 血管外科での手術が必要と判断.
出血性ショックも生じているため, 大学病院に対応を依頼した方がよいと外科の先生に提案しました.
その後, 救急車で大学病院に転送されました.
学生講義
今日から医学部の学生さんの実習が開始.
13時よりガイダンスと病院紹介のミニ講義.
真剣な眼差しに, こちらも自然と声が張りました.
未来の医師たちへ, 現場の緊張感と責任を少しでも伝えられればと思います.
13時半前に自分の部屋に戻って, 昼食を摂りました.
午後の病院での仕事
外来2名を診療後, 来週の学会出張を見据えて指示入力を前倒し.
16時半から病棟運営会議, 各委員会報告の後, 経営責任者としてコロナ対応への謝辞と, インフルエンザ対策継続を依頼しました.
17時前から夕方の病棟回診.
入院患者さんは88人, 自分が主治医となっているのは46人でした.
18時前に帰宅の途に.
病院を出ると, 暖かな空気.
クルマの外気温モニターでは, 11 ℃でした.
自転車トレーニング
帰宅後, 急いで着替えて, トレーニング開始.
今日は, FTP 20分間.
エアロバイクを頑張って回しました.
急いで入浴した後, 19時から医師会理事会.
今日は, オンラインだったので, 上だけワイシャツ, 下はトレーニングウェアで参加.
20時過ぎまで報告・承認事項を確認.
20時半から遅い夕食.
話題は, 来週の学会遠征でした.
医師会定例理事会
19時から, 医師会の定例理事会.
今日はオンラインでの開催だったので, 上だけワイシャツを着て, 参会.
水分を補給しながら, 20時過ぎまで, 報告と承認事項を確認しました.
20時半から遅めの夕食.
話題は, 来週の学会旅行でした.
骨折から丸2年経過
2024年2月24日, 野沢温泉スキー場での転倒により右大腿骨頚部骨折を受傷してから, 丸2年.
幸い骨は癒合し, 痛みはありません.
仕事もスポーツも, 受傷前と同様に行えています.
時折感じる右股関節の違和感は, おそらく軽度の変形癒合による可動域制限に由来しています.
しかし, それも含めて今の身体.
骨折する度に, 健康であることの有り難さを実感します.
自分自信の病気や骨折の経験を活かして, 患者さんの痛みや苦しみを少しでも軽くできるように, この仕事を続けていきたいと思います.



コメント