午前の病院での仕事
今朝は, 雨.
いよいよ, 雪解けの季節になってしまいました.
気温は, 6 ℃.
少雨だった地域には, 惠の雨ですが, スキーヤーにとっては, ありがたくないです.
最高気温が低い予報なのが, せめてもの救いです.
8時前に病棟に上がって, 昨日後輩医師が執刀した2件の人工膝関節全置換術の患者さんの経過を確認.
問題なく経過されていました.
8時から朝の病棟回診.
9時前に外来に降りて, 33人の患者さんの診療を行いました.
12時半すぎから, 午後に日帰り手術を行う患者さんに麻酔と手術の説明.
午後の病院での仕事
外来手術が13時からだったので, 外来から手術部に直行.
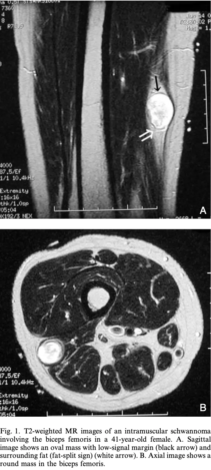
13時から, 下腿の筋肉内末梢神経性神経腫腫摘出術を執刀しました.

引用元:Shimose S. Major-nerve schwannomas versus intramuscular schwannomas. Acta Radio. 2007. 48.
筋肉内に発生する神経鞘腫は, 神経鞘腫の2 %程度とまれな病態で, 痛みがないのが特徴です.
主幹神経から発生する神経鞘腫のように, 手術によって麻痺を生じる危険性が少ないため, 局所麻酔で核出することにしました.
40分弱で予定通りに終了しました.
外来に戻って, 手術後の説明を終えて, やっと昼食にありつけました.
14時過ぎから30分ほど休憩.
14時半からは, 病棟の業務を1時間行いました.
理事長との面談
今日の夕方は, 理事長との面談があるため, 法人本部に移動.
道中は, ずっと雨でしたが, 気温は低く, 7 ℃前後でした.
17時前に理事長と面談.
当院における人員不足, コスト高への対応, 地域医療構想における病床機能の報告, 病棟の再編成, ベッド数減床などについて, 協議しました.
山積する問題に対して, 容易に結論が出ませんでした.
6月の診療報酬改定後に, 環境が変化することも予想されるため, 6月以降にまた協議することに.
カンファランスの準備
18時半に帰宅.
ストレッチと筋トレを妻と一緒に行いました.
月水金に行うことにしていますが, 久々だったので, キツくて汗が滲みました.
入浴と夕食の後, 金曜日のカンファランスで発表する演題について検討.
トラネキサム酸という薬について発表することにしました.
しかし, 検索した文献を読み込んでいる内に, 眠気に襲われて, 炬燵で寝落ちしてしまいました.


コメント