午前の病院での仕事
今朝は, 快晴.
しかし, 気温は低めで, クルマの外気温モニターでは9 ℃.
寒く感じました.
8時前に病棟に上がり, 8時から朝の病棟回診.
8時半から, カンファランス.
今日は, 外科医師によるフレイルと栄養障害についての講義でした.
引き続き, 手術前カンファランス.
来週は6件の手術を予定しています.
9時前に外来に降りて, 19人の患者さんを診療.
このうち, 5人は紹介で来られた新規患者さんだったので, 人数が少なくても忙しかったです.
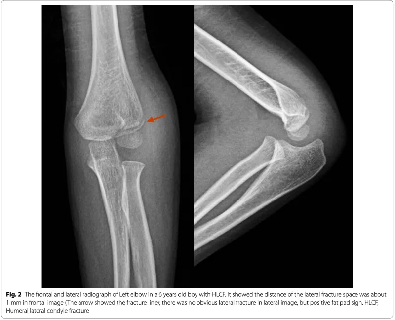
上腕骨外顆骨折の幼児

わずかに→部分で骨が折れているのが判ります.
見逃されやすい骨折なので, 骨折していない側(健側)のX線写真も撮像して, 比較することが必要になることもあります.
2週間前に上腕骨外顆骨折を受傷された4歳の幼児が紹介でこられました.
幸い, ズレはほとんどなかったため ギプスが巻かれていました.
今日は, ギプスをカット.
X線写真では, 骨がつながってきており, ギプスは除去したままとしました.
2週間後に肘関節の動きをチェックして, 終了の予定.
膝蓋骨前方腫瘤の患者
1年前から膝の前方に腫瘤を形成し, 徐々に大きくなってきて, 膝をついたときに痛みがある後期高齢患者さんが紹介で来院.

鑑別診断としては, 慢性の滑液包炎, 慢性の感染症(特に, 結核などの肉芽腫性炎症性疾患), 腱滑膜巨細胞腫, 線維腫などの良性軟部腫瘍, 滑膜肉腫や未分化多形肉腫などの悪性軟部腫瘍(がん)などが挙げられます.
この患者さんは, 滑膜肉腫という名前の軟部肉腫(脂肪や筋肉などに発生するがん)と診断されました.
膝関節の膝蓋骨前方に3 cm大の腫瘤を形成していました.
触診では, 水が貯まった袋のようなぷよぷよした感じはなく, 硬かったので, 膝蓋前滑液包に水が貯まった滑液包炎ではないようです.
腫瘍かどうか判断するために, 造影MRIを撮像するように来週予約しました.
その他に, 扁平足障害の前期高齢者, 胸壁腫瘤の超高齢者, 鎖骨骨幹部の中高年が紹介で来られました.
いずれも, すぐに手術は不要そうでしたので, 外来に通院していただき, 経過をみることに .
12時半に外来診療を終了.
午後の病院での仕事
13時半前に手術部に移動.
13時半から大腿骨転子部骨折に対する観血的手術を執刀.

今回は, Stryker社のガンマ4という器械を使用.
2023年6月に発売された新しい骨接合器械で, 2004年に発売されたガンマ3の改良型です.
手術の途中で大学病院から診療応援に来ていただいた整形外科研修1年目の後輩医師に交代して, ドリルで孔を開けて, ネジを入れてもらう操作を実施していただきました.
後輩医師の指導・育成も先輩医師の努めになります.
予定通り40分ほどで終了.
15時過ぎから処置や指示出しなどの病棟の仕事.
16時からは, 病棟看護師, リハビリスタッフ, 管理栄養士, 社会福祉士と一緒に病棟回診.
患者さんの情報を共有しました.
入院患者さんは77人, 自分が主治医となっているのは36人でした.
事務作業
今月も, 病院外の事務所での仕事が始まりました.
17時半に事務所に入り, コーヒーを飲んで眠気を飛ばしながら, 黙々と作業.
20時前に終了.
進捗率は3割くらいでした.
20時過ぎに帰宅.
会津若松からこどもが帰宅していました.
今週末は, 会津若松に行って, クルマの納車, 家電や家具の購入などを行う予定です.

コメント