午前の病院での仕事
今朝は昨日とは一転して暖かく, クルマの外気温は9 ℃. ただ, 夜から雨との予報でした.
8時前に病棟へ上がると, 昨夕入院した急性腰痛の高齢患者さんが夜間に急激に興奮し, 看護師へ暴力行為があったため, 未明にご家族に迎えに来てもらい帰宅されたとの報告. アルコール依存で精神科入院歴もあり, 禁酒による離脱症状が原因のようでした. 退院時には腰痛は消失し, 歩行して帰宅されたとのこと.
8時から朝の病棟回診, 8時半からはカンファレンス. 外科の先生による「アルコール摂取」に関するタイムリーな講義があり, 年末に向けて良い復習になりました. 続く手術前カンファランスでは来週6件の手術を確認.
9時過ぎに外来に降りて, 30人の患者さんの診療を行いました.
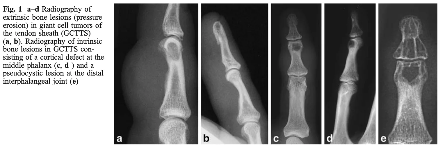
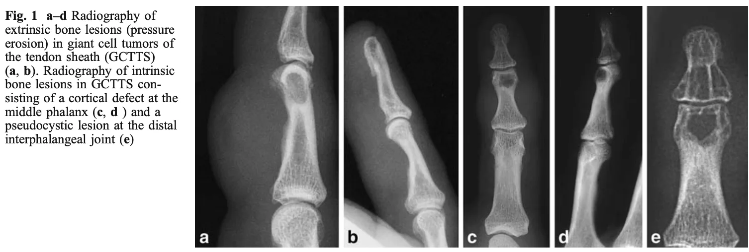
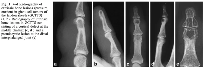
指の腱滑膜巨細胞腫の患者
指の軟部腫瘍の若年成人の患者さんが紹介で来られました.

腫瘍に圧されて骨が凹んだり(a, b), 腫瘍が骨に食い込んで孔が開いたり(c, d, e)します.
1年前から薬指に腫瘍があり, X線写真では指の骨骨の圧痕や侵食像が認められました. 腱滑膜から発生した『腱滑膜巨細胞腫 tenosynovial giant cell tumor(TGCT)(または, 腱鞘巨細胞腫 giant cell tumor of tendon sheath(GCTTS)』という良性軟部腫瘍が疑われました.
造影MRIをオーダーし, 結果は後日お伝えすることに.
12時半過ぎに外来を終えて, 昼食に.
午後の病院での仕事
午後は特に予定がなかったので, 昨日経験した『sleeve骨折』の文献をまとめて読み込み. 内容は昨日のブログに整理しています.
15時過ぎからは病棟での処置や書類作成. 3連休前ということもあり, 溜まっていた仕事を一気に片付けました.
16時からは, 病棟看護師, リハビリスタッフ, 社会福祉士, 管理栄養士と一緒に病棟回診. 入院患者さんは72人, 自分が主治医となっているのは35人でした.
17時に病院を出ると, 予報通り小雨が降り始めていました.
事務作業
17時半に病院外の事務所へ移動し, 今月の事務作業をスタート. 画面とにらめっこしながらコーヒーとせんべいでしのぎつつ, 淡々と作業. 進捗率は15%ほど.
19時半に帰宅の途につきました.
スキー場オープン延期
東北地方では明日,
- 秋田八幡平スキー場(秋田県)
- 夏油高原スキー場(岩手県)
- 天元台高原スキー場(山形県)
- グランデコスノーリゾート(福島県)
の4カ所のスキー場がオープン予定でしたが, 帰宅後に調べたところ, 実際にオープンするのは, 八幡平と天元台の2カ所だけで, 他は積雪不足で延期.
秋田まではさすがに行けず, 天元台もスラロームコースのみ, 積雪10 cmとのことで, 今週末のスキー初滑りは断念しました.
早く雪が積もることを祈ります.




コメント