午前の病院での仕事
今朝は久々に冷え込みました. クルマのフロントガラスは凍っていませんでしたが, 露で覆われており, 外気温モニターは3 ℃でした. 青空が広がっていましたが, 寒々しい冬晴れの朝でした.
通常通りに出勤しました.
8時から後輩医師と一緒に病棟回診を行いました. 土曜日に新規の患者さんが2人入院していました. お一人は, 金曜日に自分が診療して, 腰椎の圧迫骨折と診断した95歳の高齢者で, 付き添ってこられたご家族は入院加療をきぼうされていましたが, ご本人が家に帰ると言って帰られた患者さんでした. 土曜日に来られて, やはり入院したいと希望されて, 入院されていました. もうお一人は, 当科がかかりつけの高齢者で, 食事が摂れなくなったとのことで, 撒水症の診断で入院されていました.
8時半から朝礼を行って, その後, 病院幹部のミーティングを行いました.
9時前に外来に降りて, 15人の患者さんの診療を行いました. 紹介で来られた新規の患者さんが2人いらっしゃって, そのうち1人は今日, CT, MRIを撮像して診断することになりました.
お昼過ぎにCTとMRIが揃ったので, 画像を確認しました. すぐに手術が必要な状態ではないと判断して, 定期的に経過を見せていただくことにして, 次回の予約を入れました.
13時過ぎに自分の部屋に戻って, ランチを摂りました.
どうぶつの森 ポケットキャンプ コンプリートが始まる
昼食後に受診したメールをスマホで確認していたところ, 『ニンテンドー』さんから『どうぶつの森 ポケットキャンプ コンプリート』がダウンロード可能という通知を発見しました.
早速, アプリをダウンロードして, 始めました. 新しくできたくちぶえ峠では, フレンドの一部と会うことができましたが, 以前のようにフレンドのキャンプを訪問したりすることはできなくなっていました.
早速ガーデンイベントが始まりました. 今までは水やりはフレンドがやってくれていたし, 虫捕りをサボっていてもお裾分けでいただいていましたが, これからは独りでやらなければならないようです.
日本整形外科学会研修会の申請手続き
午後は, 3月に開催する日本整形外科学会研修会の登録作業を行いました.
私は, 当地の医師会のスポーツ担当理事を勤めていますが, その仕事のひとつとして日本医師会健康スポーツ医の資格継続のための再研修会を主催しています.
この研修会が, 日本整形外科学会が認定する研修会(整形外科専門医を維持するために必要な研修会参加単位を取得できる講演会)を兼ねられるためには, 日本整形外科学会に申請して, 認定していただく必要があります. 日本整形外科学会のオンライン基幹システムが今年から変わったので, まずはマニュアルをダウンロードして読み込む作業にとりかかりました.
なお, 講師には, 他病院に勤務している後輩医師に内諾をいただいています.
医師会の事務局にもメールでマニュアルを送付して, 申請手続きを手伝っていただいたり, 研修会当日の受付の準備をしていただいたりしていただくように連絡しました.
午後の病院での仕事と両側同時外傷性肘関節脱臼骨折の患者
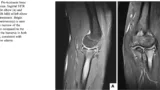
16時に病棟に上がって, 大学病院から転院してこられた患者さんの紹介状やこれまでのX線写真などの資料を確認しました. 高所から墜落して両手を地面に着いたために, 両方の肘関節が脱臼して骨折された患者さんでした. 両方の肘関節を同時に脱臼した患者さんを診るのは, 初めてでした.
同様の事例がどれくらいあるのかを調べてみたところ, 下記に上げた症例報告の論文を見つけました.

論文の題名は, 「両側の橈骨と尺骨の遠位部(手関節に近い部分)の骨折を伴った両側肘関節の脱臼後の良好な機能的回復」です. クロアチアのザグレブ大学病院の外科学講座からの症例報告です.

9例(成人7例, 小児2例)は, 脱臼だけで, 10例(成人7人, 小児5人)は骨折を伴っていた.」と記載されていました.
この論文の考察には, 『これまでに報告されたケガによる両側の肘関節脱臼は, たったの20例しかない』と記述されていました. したがって, 両側の肘関節脱臼は, きわめてまれなケガと言えます.
この患者さんは, すでに大学病院で骨折と靱帯を修復する手術が行われており, 当院にはリハビリテーションを目的として転院されました.

手術は1カ月ほど前でしたが, 手術時にヒンジ式創外固定(皮膚の外側から骨にネジが刻まれた金属製の棒(ピン)を差し込んで, このピンを体外で器械で固定して患部の安静を保つ一方, 肘関節の曲げ伸ばし運動は可能とする治療)を併用されて, 手術後早い時期から肘関節を動かすようにしていたそうです. 先週, 創外固定は外されて, その後当科に転入院されました. 肘関節を動かしてもらうと, 予想外に肘関節の動きがよくて, 両手とも顔までとどくくらいに肘関節が曲がるので, 大変驚きました.
16時半から後輩医師と一緒に夕方の病棟回診を行いました. 入院患者さんは73人, 自分が主治医となっているのは233人に減りました.
17時過ぎに病院を出ました. 今日は, 夕方も気温が低く, 寒く感じました.
夜の事務仕事
病院外の事務所で事務仕事があるので, 病院から向かいました.
17時半過ぎに到着して, 早速作業を始めましたが, これまでにないくらい判断に困る事例が多く, なかなかはかどりませんでした. 作業が終わったのは 20時40分過ぎで, 3時間以上かかりました.
ずっとパソコンのディスプレイを見つめていたので, 目が疲れました.
スイス旅行の準備
帰宅後, 夕食を済ませてから, 今月末のスイス旅行のために持っていくものを購入する作業を行いました.
今日もAmazonブラックフライデーセールでいくつか商品を購入しました.
まだまだ買いそろえるものがあるので, 明日以降もグッズを物色します.


コメント