午前の病院での仕事
今日は, 朝から雨.
おかげで, 花粉症の症状も昨日よりは軽くて済んでいます.
8時前に病棟に上がって, 8時から朝の病棟回診.
8時半から, カンファランス.
今日は, 医療事務から令和8年度の診療報酬改訂についてのレクチャーでした.
当院で収入増となる点数について解説していただきました.
9時前に外来に降りて, 午前中の外来では34人の患者さんを診療.
診療中, 当科で骨粗鬆症治療中の超高齢者が転倒後胸が痛いとのことで, 救急車を呼んだため, 受け入れ可能かどうか救急隊から連絡が入り, 受け入れ可能と返答.
10時半過ぎに救急車が到着.
胸の前下方(肋骨弓ろっこつきゅう)の辺りを痛がっていました.
部位からは, 第8, 9, 10肋骨の骨折を疑って, CTをオーダー.
その結果, 予想通り, 第8, 9, 10肋骨の骨折でした.
ズレが少ないため, 胸部固定帯を巻いて固定.
鎮痛薬を処方して帰宅することになりました.
痛みのために呼吸が浅くなると, 肺炎を生じる危険性があるため, ゆっくり時々深く息を吸って, 吐いてを行うように指導しました.
12時過ぎに外来診療を終了.
引き続き, 午後に日帰り手術を行う患者さんに麻酔と手術について説明しました.
午後の病院での仕事
昼食後, 13時半前に手術部に移動.
13時半から親指(母指ぼし)のバネ指に対する腱鞘切開術を執刀.
予定通り15分ほどで終了しました.
14時に外来に戻って, 午後の外来では4人を診療.
2人は新規の患者さんだったので, 時間がかかりました.
上腕骨骨折の急患
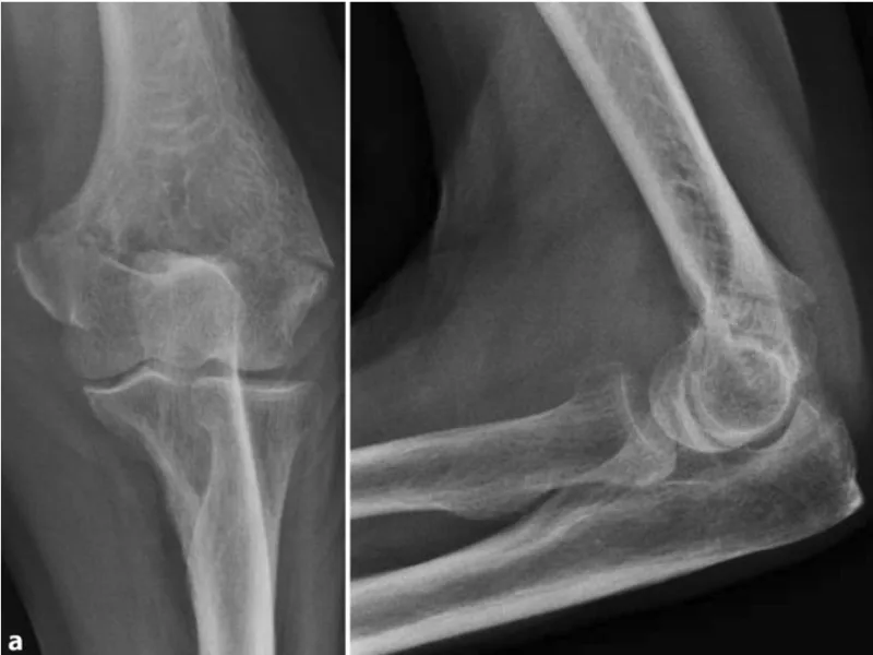
当科で骨粗鬆症を治療している独居の超高齢者が, 土曜日に転倒してから腕が腫れているとのことで, 訪問看護師から連絡が入ったので, 来ていただくことに.
15時半過ぎに到着.
腕から手がパンパンに腫れていました.
しかし, 圧しても痛みがほとんどありません.
骨折を疑って, 肩関節, 肘関節, 手関節のX線写真を撮像することに.

その結果, 上腕骨の通顆骨折でした.
ズレがほとんどなかったので, ギプスシーネを巻いて, 固定.
独り暮らしで, 自宅での生活は難しいことから, 入院することになりました.
入院前の検査と入院後の指示を電子カルテに入力.
16時半から夕方の病棟回診.
入院患者さんは86人, 自分が主治医となっているのは42人でした.
17時前に病院を出て, 急いで帰宅.
会津若松市へこどもを送る
帰宅後, 明日から会津若松市で勤務するこどもと通勤用の自転車を載せて, 会津若松市に出発.
東北道, 磐越道はずっと雨でした.
19時半前に会津河東インターで降りて, 宿泊先の東山温泉へ.
夕食は, 東山温泉の『卯之家(うのや)』にしようと決めていたので, 真っ直ぐ向かいました.

閉店時間が20時だったので, 間に合うか少し焦りました.
駐車場に停まっているクルマはなく,
「もしかして, 閉店しちゃった?」
と足早にお店に向かうと, まだのれんが出ていたので, ホッとしました.
平日の閉店前でしたが, 予想外にもほぼ満席.
外国人のお客さんもいらっしゃっていました.

こどもも自分も名物のソースカツ丼(ロース)1,100円を注文.
ソースが衣に染み込んでいて, 肉も柔らかく, 美味しいカツ丼でした.
店主がのれんをしまったのは, 20時10分だったので, 20時ギリギリでも間に合ったかも.
その後, こどもを宿泊先の宿に送り, 持ってきた自転車を降ろして, 別れました.
帰り道もずっと雨.
帰宅したのは, 22時前.
入浴後, 炬燵に入って, 明日の新入職員オリエンテーションで使うスライドを作っている最中で眠ってしまいました.



コメント