午前の病院での仕事
今朝も晴れ.
陽射しは温かいのですが, 気温は低くて1 ℃.
8時前に病棟に上がって, 昨日後輩医師の執刀で手術が行われた患者さん3人(膝外側半月板損傷に対する関節鏡下半月板縫合術, 変形性膝関節症に対する脛骨近位骨切り術後の骨内異物除去術, 肩腱板断裂に対する関節鏡下腱板修復術)の経過を確認
みなさん, 問題なく経過されていました.
8時から朝の病棟回診.
新型コロナのクラスターは, その後新規に感染された患者さんは発生しておらず, 今週中に解消しそうです.
9島に外来に降りて, 午前中の外来では, 43人の患者さんを診療.
先週, 学会で休診にしたため, 普段よりも多くの患者さんを診る必要がありました.
12時前に外来診療を終了.
その後, 明日朝の手術前カンファランスの準備として, 来週予定している4件の手術について, スライドを作成しました.
午後の病院での仕事
14時に外来に戻って, 午後は8人の患者さんを診療.
新患が多かったため, 16時までかかりました.
その後, 病棟の指示出しやサマリー作成などを行いました.
16時から夕方の病棟回診.
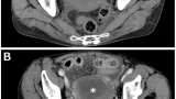
子宮留膿腫を疑って, 他院の婦人科に紹介した患者さんが受診から戻っていました.
超音波検査の結果, 自然に膿が出たようで, 子宮の中の膿瘍はほぼ解消しており, 膿を出す処置は行われなかったとのこと.
細菌培養検査の結果が出たら報告するとのお返事をいただきました.
抗菌薬を早めに投与したのが, 有効だったのかもしれません.
細菌感染は, 刻一刻と病状が進行するので, 疑ったらすぐに対応する必要があります.

28日後死亡 (A), 90日後死亡 (B)のどちらも抗菌薬を1時間以内に開始した群の方が生存率が高かったことが判りました.
抗菌薬を早期に開始することで, 敗血症で死亡する危険性を減らせることが, 研究によって判っています.
入院患者さんは88人, 自分が主治医となっているのは45人でした.
今日は手術がなかったので, 17時前に終了し, 定時で病院を出ました.
障害者自立支援審査会
18時半からは, 障害者自立支援審査会に参会.
今日はリモート会議でした.
合議体の長として, 16人の申請事例について, 区分変更と認定機関を数人の委員会で協議決定しました.
自転車トレーニング
夕食後, 20時半から自転車トレーニング.
今日は, SST 10分 x2.
汗だくになりながら, 1時間弱エアロバイクを漕ぎました.
うちのネコの誕生日

今日は, うちのネコの誕生日.
15年前の東日本大震災の翌日に千葉のブリーダーのもとで生まれました.
千葉県も地震で揺れて, 余震もあったと思います.
そのせいか, 地震にはとても敏感で, グラッと揺れた?とう程度の揺れでも反応して, 不安そうに寄ってきます.
ネコの15歳は, 人でいうと75歳相当.
おばあちゃんネコですが, 長生きしてもらいたいです.



コメント