午前の病院での仕事
今日は曇り空.
冷え込みが厳しく, 駐車場のクルマは凍っていました.
8時前に病棟に上がって, 昨日後輩の執刀で人工膝関節全置換術が行われた患者さんの経過を確認.
問題なく経過されていました.
8時から朝の病棟回診.
8時半に外来に降りて, 午前中は40人の患者さんの診療を行いました.
午後は, 手術があるので, 予約外の患者さんは, 数時間お待ちいただくことを説明し, それでも構わないという方だけ受付してもらうことに.
結果, 2人ほど, 受付して待機することに.
13時前に外来診療を終了し, 急いで自分の部屋に戻って昼食.
午後の病院での仕事
13時半からの手術に向け, 手術部へ移動.
大腿骨頚部骨折の後期高齢患者さんに対する人工骨頭挿入術でした.
後輩医師が執刀し, 私は助手として参加.
骨折から1か月以上経過していたため関節拘縮が強く, やや時間を要しましたが, 無事に終了しました.
15時前に外来へ戻り、予約の患者さん2人を診療.
その後、午前中から待っていた患者さんを続けて診察しました.
下腿部皮下血腫の患者
1人目は, 年末の剣道の稽古中に相手のすねとぶつけて以降, 腫れが引かず心配になって受診された中高年の方.
歩行は可能で, 重篤な印象はありませんでしたが, すね中央部に腫脹と圧痛を認めたため, 念のためCTを撮像.
結果は皮下脂肪内の血腫のみ.
鎮痛薬を処方し, 自然吸収を待つ方針としました.
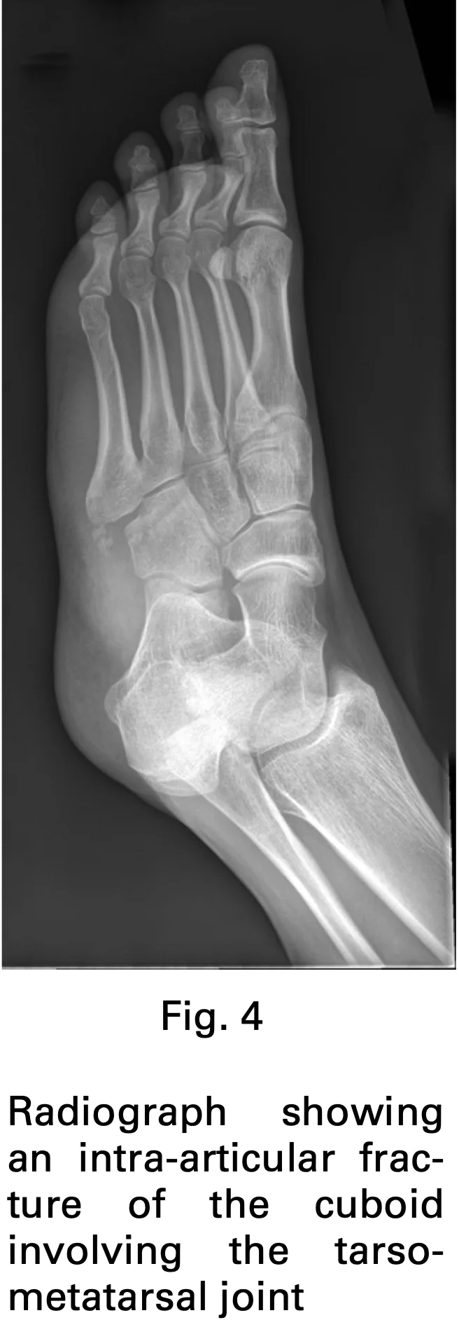
外果・立方骨骨折の患者
2人目は, 前日に屋外で転倒して以降, 足の痛みが続いている中高年の方.
歩行困難で、車イスでの受診でした.

足背に腫脹と圧痛を認め, 中足骨・足根骨骨折を疑ってCTを撮像.

結果は, 外果(外くるぶし)と立方骨の骨折.
いずれも転位は軽度であったため, 保存療法を選択しました.
ギプス副子で固定し, 松葉杖を貸与.
免荷を指示し, 来週のギプス固定の予約を入れて終了としました.
16時に午後の外来を終了.
その後, 患者さんとの面談, 病棟の事務作業等を行い, 16時から夕方の病棟回診.
入院患者さんは80人, 主治医となっているのは36人でした.
17時過ぎに退勤.
凍えるような寒さの中, 雪が舞い始め, クルマにも薄く積もり始めていました.
トレーニング
帰宅後, ストレッチの後, バイクトレーニング.
今日は, SST 15分 x 3本.
1時間あまりエアロバイクを漕いで, しっかり汗をかきました..


コメント