午前の病院での仕事
今朝は青空が広がっていましたが, 放射冷却の影響で冷え込み, 気温は−4 ℃.
節分とはいえ, まだまだ冬の厳しさを感じる朝でした.
ただ, 日中は最高気温が10 ℃を超えるとの予報です.
8時前に病棟に上がり, 昨日手術が行われた患者さん2人(変形性膝関節症に対する人工膝関節全置換術2件)の経過を確認.
お二人とも問題なく経過されていました.
8時から朝の病棟回診.
新型コロナ感染者が発生した病棟では, 患者さん7人, スタッフ2人の感染が確認され, 久々のクラスター発生となりました.
一方, 先週感染が確認された別の病棟では, すでに感染は終息しています.
8時半過ぎから外来診療.
午前中は26人の患者さんを診療し, 12時半に終了しました.
午後の病院での仕事と大腿骨転子下再骨折の患者
13時から, ばね指に対する日帰り手術が2件.
大学から診療応援に来られた後期研修中の後輩医師の執刀で, 指導的助手を務めました.
手術中, 外来から連絡が入りました.
デイサービス中の患者さんが転倒し, ふとももを痛がっているため診療してほしい, とのこと.
2件目の手術の指導を後輩医師に任せて, 外来へ移動.
受診されたのは90歳を超える超高齢の患者さんで, 両側の大腿骨転子部骨折に対して手術を受けた既往がありました.
立つことは可能でしたが,
「太ももが痛い」との訴えでした.

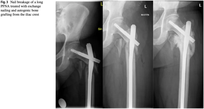
今日来られた事例は, 髄内釘は折れていませんでしたが, 転子下に骨折を生じていました.
引用元:Halonen LM. Peri‑implant fracture: a rare complication after intramedullary fixation of trochanteric femoral fracture. Arch Orthop Trauma Surg. 2022. 142.
X線写真を撮像したところ, 髄内釘が挿入されているにもかかわらず, 大腿骨転子下骨折を認めました.
入院加療を勧めましたが, ご家族が遠隔地にお住まいで本日中の来院が難しいとのことで, いったん帰宅していただくことになりました。
15時からは製薬会社の方と面談.
来月開催予定の研究会の案内と, 世話人会への出席依頼でした.
その後は病棟業務を行い, 16時半から夕方の病棟回診.
入院患者さんは97人.
そのうち自分が主治医となっているのは50人で, 前日と変わりありませんでした.
17時過ぎに病院を出て, 帰路につきました.
検診精度管理委員会
帰宅後, 妻とストレッチと筋トレ.
短時間でしたが, 体を動かしてから外出しました.
19時から, 役所の会議室で検診精度管理委員会.
骨粗鬆症検診の精度管理委員を担当しているので, 参加しました.
今年度実施された検診について, 役所の担当者から説明が行われました.
骨粗鬆症検診の受診率が前年度より低下しており, 特に高齢者の受診割合が下がっていることが報告されました.
背景として, 物価高の影響により, 検診費用の自己負担が年金生活者にとって重くなっている可能性が示唆されました.
自宅での仕事
20時前に帰宅.
夕食後, 明日役所で開催される障害者自立支援審査会の資料に目を通しました.
その後, 明日以降の手術説明書を作成し, 手術手順や使用器械について確認と復習.
自宅に戻ってからも仕事が山積しており, なかなか気の休まる時間はありません.
就寝は1時過ぎとなりました.


コメント