寒波襲来

今朝のクルマの外気温モニターは −3 ℃.
昨日は大寒でしたが, 文字通り寒い朝となりました.
外に出た瞬間, 空気が刺さるように冷たく, まるでスキー場にいるかのよう.
通勤途中は雪が舞い, 路面状況も悪く, どの車も慎重なノロノロ運転でした.
午前の病院での仕事と大腿骨頚部骨折の急患
何とか8時前に病棟へ.
後輩医師の執刀で手術が行われた患者さん二人(変形性膝関節症に対する人工膝関節全置換術, 反復性膝蓋骨脱臼に対する関節鏡下内側膝蓋大腿靱帯再建術+脛骨粗面移動術)の経過を確認しました.
お二人とも痛みは軽度で, 順調でした.
8時から朝の病棟回診.
8時半過ぎに外来へ降りて, 19人の患者さんを診療しました.
寒さの影響か, 新患は少なめ.
11時に外来を終えました.
するとその直後, 救急隊から連絡.
転倒後より股関節痛が強く, 歩行不能となった後期高齢者の収容依頼でした.
5分ほどで救急車が到着.
股関節に圧痛があり, 大腿骨頚部骨折を疑ってX線を撮影.
結果は予想通り, 転位型の大腿骨頚部骨折でした.
全身麻酔に向けた術前検査を行い, 明後日の午後に手術枠を確保.
入院対応としました.
その後は, 手術カンファランス用のスライド作成.
来週は5件の手術を予定しています.
13時過ぎに自分の部屋へ戻り, 遅めの昼食を摂りました.
午後の病院での仕事とまた大腿骨頚部骨折の急患
14時から手術のため手術部へ.
手指に生じた軟部腫瘍の摘出術で, 後輩医師が執刀.
私は, 指導的助手を務めました.

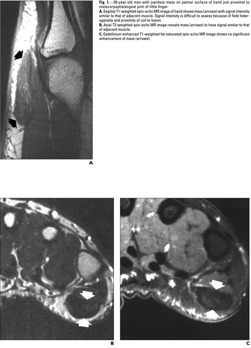
T1強調画像(A), T2強調画像(B)で, 黒く描出され, 造影MRI(C)では, 淡く造影されて白く写ります.
以上のMRIの特徴は, 腱滑膜巨細胞腫と似ています.
引用元:Fox MG. MR imaging of fibroma of the tendon sheath. AJR Am J Roentgenol. 2003. 180.
術前MRIからは腱滑膜巨細胞腫を疑っていましたが, 開けてみると, 光沢のある白色で腱様の外観.
腱鞘線維腫が疑われる所見でした.
周囲との癒着が強く, ところどころで鋏を借りて介入.
やや時間を要しましたが, 1時間弱で無事終了.
15時からは, 明日, 下大静脈フィルターを留置する患者さんに手術の説明.
さらに先ほど入院した大腿骨頚部骨折の患者さんに, 明後日の人工骨頭挿入術の説明を行いました.
15時半, 今度は先輩医師の整形外科クリニックから電話.
施設入所中の前期高齢者が転倒後に大腿部痛を訴え受診したところ, 大腿骨頚部骨折だったので、入院させてもらいたいとのことでした.
16時過ぎに到着した患者さんは, 長期施設入所中で, 付き添いの職員も病歴を把握しておらず.
精神疾患(詳細不明、統合失調症?)があり, 発語せず, 意思疎通は不能.
身寄りはいとこ一人のみでしたが, 葬儀のため本日・明日は来院不可.
ほぼ情報がない状態での入院対応となりました.
17時を過ぎてしまい, 夕方の回診は, 後輩医師に任せました.
今月も赤字
17時過ぎから, 遅れて病院の経営会議に参加.
事務長から12月分の収支報告があり, 約100万円の赤字.
今季累計では, 2,000万円以上の赤字となっています.
1月に入ってから整形外科の患者数は急増しており, 今月単月では黒字が見込めそうですが, 通期での赤字解消は厳しい状況です.
事務作業
17時半過ぎに病院を出ると, 身を切るような寒さ.
クルマは凍りつき, 道路はブラックアイスバーン.
何度かヒヤッとする場面もありました.
明日からは大雪の予報.
交通障害が心配です.
18時過ぎから病院外の事務所で, 今月分の事務作業を開始.
コーヒーで身体を温めながらPCに向かい, 21時前まで作業を続けましたが, 進捗はようやく30%ほど.
21時半に帰宅.
夕食は, 久しぶりのカレーでした.


コメント