午前の病院での仕事

今朝は, この時期としては異例の暖かさでした.
外に出ると南風が強く, クルマの外気温モニターは7 ℃を表示していました.
予報では黄砂が飛来するとのこと.
昨晩の雨に続き, 黄砂まで重なると, スキー場にとってはなかなか厳しい条件が続いているのが気がかりです.
8時前に病棟へ.
昨日手術が行われた2人の患者さん(膝外側半月板損傷に対する関節鏡下半月板縫合術, 大腿骨頚部骨折に対する人工骨頭挿入術)の経過を確認.
大腿骨頚部骨折の超高齢患者さんは、術後に血圧低下を認め、昇圧薬ドパミンを使用していましたが、徐々に減量しても血圧が安定していたため、投与を終了しました。
.8時から朝の病棟回診.
8時半からはカンファランス.
今日は当番だったため, 現在治療中の化膿性脊椎炎について, 診断と治療のポイントをレビューしました
9時前に外来に降りて, 29人の患者さんを診療.
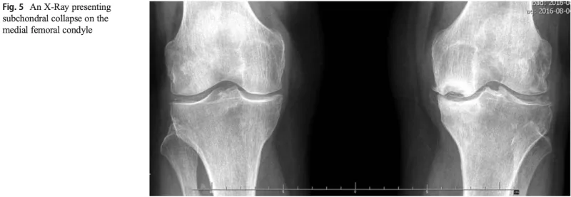
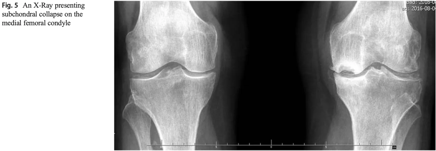
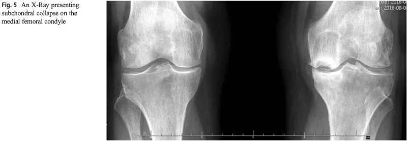
大腿骨内顆骨壊死の患者
脚を引きずるようにして診察室に入ってこられた患者さん.
12月頃から, 歩行時に膝下から足背にかけて痛みが出るとのことでした.
腰椎疾患由来の神経障害性疼痛を疑い, 腰椎および下肢の神経学的所見を確認しましたが, 明らかな異常はありません.
股関節にも問題はなく, 膝関節の可動域低下と運動時痛を認めました.

左の膝関節大腿骨内側部で骨が壊死した結果, 陥没しています.
膝関節由来の疼痛と判断し, X線検査をオーダー.
その結果, 変形性膝関節症の所見に加え, 大腿骨内顆の陥没を認めました.
大腿骨内顆骨壊死とは, 大腿骨の膝関節の内側にあたる内顆部が血流不足などで死んでしまう病気で, 50歳以上の女性に多く, 突然の強い膝の痛みで発症するのが特徴です.
大腿骨内顆骨壊死と診断し, 精査目的にMRIを予約しました.
12時半前に外来診療を終了.
午後の病院での仕事
昼食後, 13時に手術部に移動.
後輩医師の執刀で, 大腿骨転子部骨折の後期高齢患者さんの手術がありました.
今日は, 大学病院から応援に来られた後輩医師がいたので, 助手をお願いし, 私は現場監督を務めました.
予定通りに40分ほどで手術は終了.

引き続き, 上腕骨骨幹部骨折の前期高齢者さんに対して, 上腕骨の中に髄内釘を挿入して固定する手術.
髄内釘が入ったところで, 多職種回診のため, 手術部を出ました.
16時から病棟看護師, リハビリスタッフ, 社会福祉士, 管理栄養士と一緒に病棟回診.
入院患者さんは89人, 自分が主治医となっているのは39人.
今日は, ノー残業デイだったので, 17時前に終えるように急いで回りました.
17時に病院を出ました.
クルマの外気温モニターでは, 6 ℃で朝より少し下がっていました.
野沢温泉の宿検索
ストレッチと筋トレの後に入浴.
夕食はキムチ鍋でした.
食後, ビールを飲みながら, 今後のスキー予定をカレンダーで確認.
今シーズンは, 野沢温泉スキー場で開催される『はと車カップ』でレースに参戦しようと考え, 3月第2週に野沢温泉の宿をすでに予約していました.
ところが, 例年は第2週開催だった『はと車カップ』が, 今年は3月20日に開催されるという情報がXで流れてきました.
3月20日からの3連休は, すでに志賀高原の宿を予約済み.
当日レースに出てから志賀高原へ移動する案も頭をよぎりましたが, 昨年の大会要項を確認すると,
「当日, 野沢温泉に宿泊していること」
という参加条件の一文を発見.
ということで, 3月20日に野沢温泉泊とするべく, 改めて宿探しを開始.
中心街から離れた民宿には若干の空きがあるものの, 中心街周辺の宿はすでに満室.
引き続き、空室が出るのを期待して検索を続けることにします.



コメント