午前の病院での仕事
今朝は雲が広がり, 外に出ると薄暗く感じました. 気温は高めで, 寒さはまだ本格化していません.
昨日, 後輩医師が執刀した両変形性膝関節症に対する両側同時人工膝関節全置換術の患者さんは, 術後経過は良好で安心しました.
8時半から外来診療を開始し, 22人を診療しました.
橈骨骨腫瘍が疑われた患者
肘の痛みを主訴に, 橈骨の骨腫瘍が疑われる中高年の患者さんが紹介で受診されました. 約3週間前, 椅子から転落して肘を床に強打したとのこと.
肘関節の伸展は痛みで制限され, 回旋動作でも痛みがありました. 持参のCD-Rに肝心の画像データが入っていなかったため, ご了承いただいたうえで当院でX線とCTを撮影.

X線写真では, 骨が透けて見えます(上図).
MRI(右下)では, 骨内は正常な骨髄脂肪しかありません.
X線写真では橈骨結節部(上図の→)が「透けて」見えましたが, CTでは骨破壊などの異常所見は認めませんでした.

橈骨結節は上腕二頭筋腱の付着部で, 構造上X線で薄く写ることがあり, 文献でも“偽囊腫(pseudocyst)”として知られています.
橈骨頚部不全骨折と診断
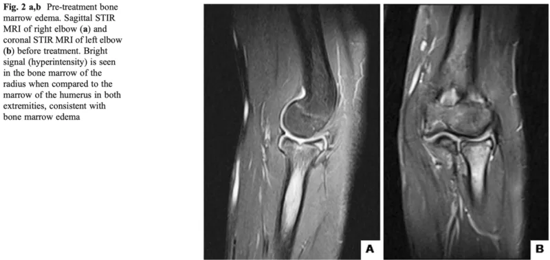
しかし, 肘関節部の痛みの原因が判らなかったので, MRIも撮像しました.

骨折に伴う出血や浮腫によって頭骨の中が白く変化しています.
MRIでは, 橈骨頭から頚部にかけて骨内に浮腫性変化が見られ、最終的に橈骨頚部の不全骨折と診断しました.
紹介元の先輩整形外科医へ診断報告の返書を作成しました.
施設入所の大腿骨転子部骨折の患者

続いて, 施設入所中の超高齢患者さんが「ふとももが痛い」とのことで受診. 視診・触診すると、大腿骨転子部が隆起して腫れており, X線をオーダーしたところ転子部骨折(AO/OTA分類 31A2.2)と判明.
血液検査では, ヘモグロビンが8.1 mg/dL(基準値:12〜16 mg/dLI)と貧血を認め, 輸血が必要になる可能性があるため入院していただくことに.
この方は, 今年2月〜5月に胸椎圧迫骨折で当科に入院しており, 退院時には再骨折を予防するために骨粗鬆症治療薬を処方しました. しかし, 施設側では“必要最小限の薬”に絞られることが多く, 今回も治療が中断されていました. 治療継続で今回の骨折を防げたかは断言できませんが, こうしたケースは決して珍しくありません.
元々歩いていなかったので, 手術治療を行うか, 貧血改善後に施設に戻るかを家人に判断していただくように説明.
検査や指示を電子カルテに入力するのに小一時間かかり, 13時に午前の外来を終了.
午後の病院での仕事
昼食後, 14時過ぎから入院された骨折患者さんや転院患者さんの指示出し, 処置などを行いました.
午前2件, 午後1件の手術がありましたが, みな後輩医師にお任せして, 手術部には出向きませんでした..
16時半からは後輩医師と夕方の病棟回診へ. 入院患者さんは72人, そのうち自分が主治医を務めているのは35人.
17時半過ぎに病院を出ました. 帰り道, 空には三日月. ほどなく天気予報どおり冷たい雨が降り始めました.
ブログ記事
帰宅後は, 今日経験した橈骨頚部不全骨折について文献を検索して, ブログ記事の執筆. 類似の症例の画像がなかなか見つからず, 時間がかかりました.


コメント