午前の病院での仕事
今朝は昨日の冷え込みが嘘のように暖かく, まるで春のような空気に包まれた朝でした.
通常通りに出勤し, 8時前に病棟へ. 昨晩は当院が整形外科の救急輪番でしたが, 入院はゼロ. 外来患者さんは4人だけと穏やかな夜だったようです.
8時から後輩医師とともに朝の病棟回診.
8時半からはカンファランスで, 外科医師による特発性気腹症と黄色肉芽腫性胆嚢炎の症例報告. 続いて来週の手術予定を確認しました.
9時前に外来へ移動し, 22人の患者さんを診療しました.
骨形成不全症の患者
前夜に救急外来を受診した小児患者さんが再診で来られました. 転倒による前腕骨骨折で整復・ギプスシーネ固定後のフォローでした.
付き添いのお母さんから
「一昨年は手首, 昨年はすねを骨折していて, 骨が弱いのでしょうか?」
との相談.

そこで眼を確認すると, 白目が青く見える“青色強膜”.
瞬時に骨形成不全症 I 型を疑いました.
追加で行った骨密度測定では, 若年成人比50 %台と重症骨粗鬆症程度の異常低値であり, 血液検査は正常. 小児整形外科へ紹介することにしました.
骨形成不全症とは
骨形成不全症とは, 骨が脆く, 生まれつき骨折しやすい疾患で, 2万人出生に1人の割合. 国内には推定6,000人ほどの患者さんがいると推定されています.
原因はI型コラーゲンの遺伝子(COL1A1, COL1A2)の変異. 親から子へと遺伝する場合もあります.
主な症状は以下の通り.
- 骨折を繰り返す
- 骨の変形・成長障害
- 青色強膜
- 歯の形成不全
- 難聴
- 関節部分の皮膚が伸びやすい
- 重症例では脊柱変形による呼吸障害, 心臓弁膜症による心不全など
病型は大きく4つで, 今回は軽症のI型を疑いました.
- I型:軽度, 青色強膜
- II型:新生児致死性, 青色強膜
- III型:進行性, 強膜の色が多様
- IV型:多様で変形を来し, 強膜の色は正常
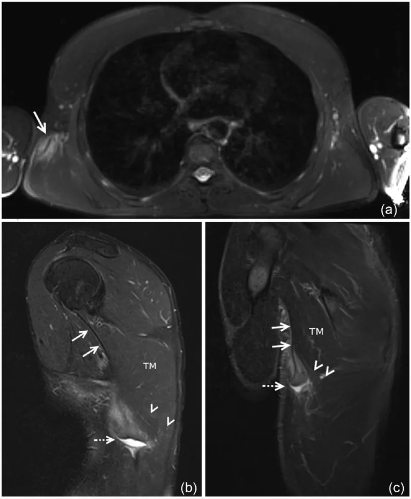
広背筋血腫の患者
背中にある腫瘤に対して, 腫瘍が疑われてMRIを撮像したけど, よくわからなかったとのことで中高年患者さんが紹介されました.

広背筋腱は, 起始部では上腕骨の前内側部に付着しています(上図Aの2).
広背筋の腱や筋腱移行部で損傷があると, それに伴う出血で脇の下や背中に腫瘤を形成して, 腫瘍と間違われることがあります.
背中を診ると, 右の肩甲骨の下辺りの後外側に8 cmくらいの腫瘤を触知しました.

筋腱移行部(→)が白くなっていて, 背中に血腫(–→)を生じています.
持参したMRIを見たところ, 広背筋の中に出血して生じた血液の塊(血腫)があり, 筋肉内血腫と診断しました. 2週間前には痛みがあったそうですが, その後緩和して, 腫瘤も小さくなっているという臨床経過も一致. 患者さんに腫瘍ではなく, 出血による腫れで, 間もなく解消することを説明し, ご安心していただきました.
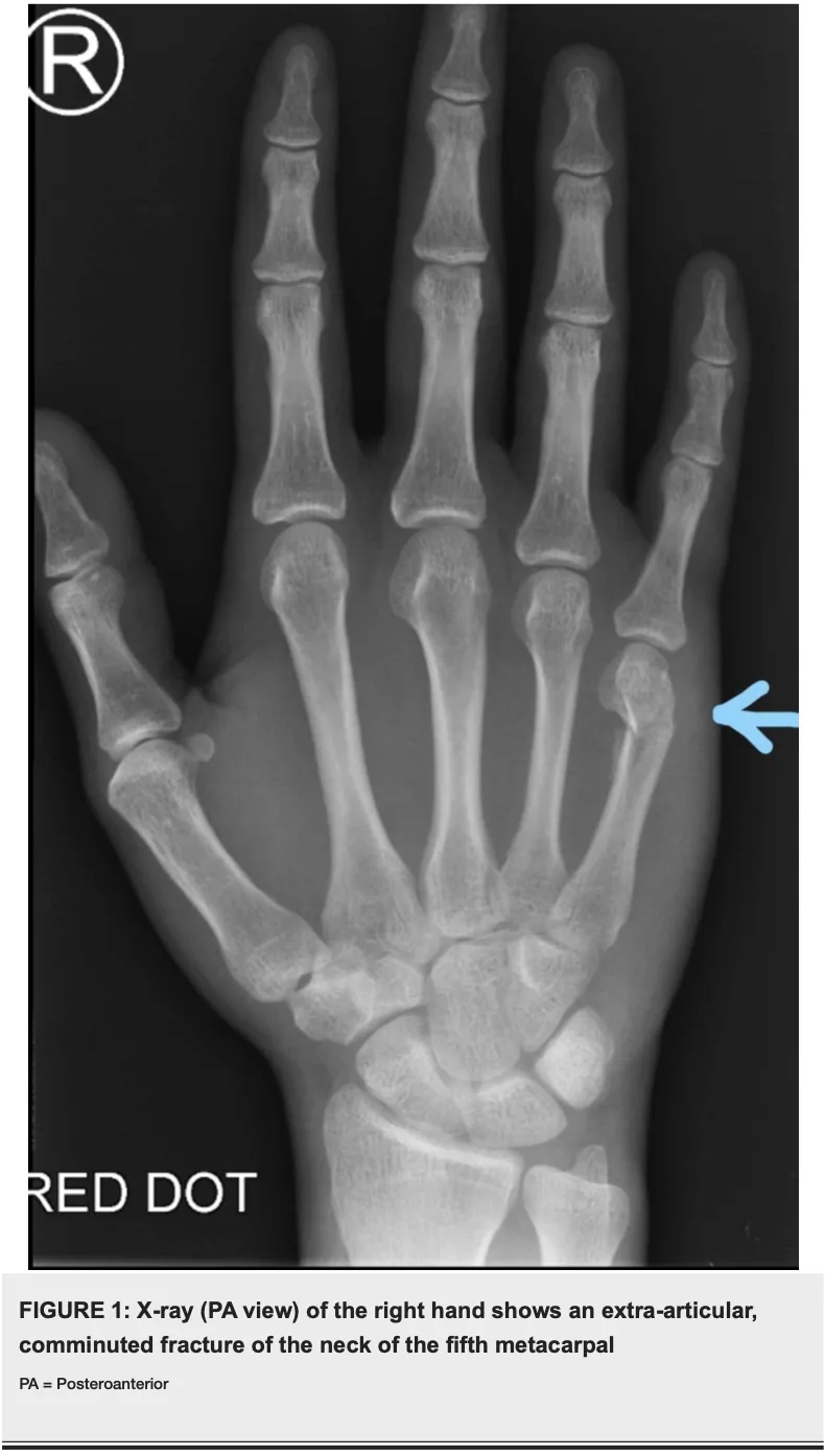
第5中手骨頚部骨折の患者
続いて, 昨日転倒し手の痛みを訴える後期高齢患者さんを診察.

小指の付け根に圧痛があり, X線で第5中手骨頚部骨折を確認しました.
拳を強く打ちつけることで起こりやすく, ボクサー骨折として知られる骨折です.
X線透視下でできる限り真っ直ぐに戻して副子固定を行いました.
さらに, 背部腫瘤の患者さんが2人紹介で来られて, それぞれ造影MRIを撮像して, いずれも脂肪腫と診断.
盛りだくさんだったので, 気付けばもう13時過ぎでした.
午後の病院での仕事
昼食後は手術の予定がなかったため, 書類整理などをこなしながら比較的ゆったりした午後に.
16時からは病棟看護師, リハビリスタッフ, 社会福祉士, 管理栄養士とともに多職種での病棟回診.
入院患者さんは71人, そのうち37人を私が担当しています.
17時に病院を出て, 帰路に就きました.


コメント