午前の病院での仕事とリトルリーグ肩の患者
今朝は, 曇り空が拡がっていました.
8時前に病棟へ上がり, 昨日, 後輩医師が執刀した患者さんの経過を確認しました.
この方は1年前に当科でリバース型人工肩関節置換術を受けられていました.
2カ月前から肩甲骨に入れた人工肩関節の部品がゆるんできたため, 人工関節を抜き取る手術が行われました.

手術中の所見では, 肩甲骨の部品の周りに膿が貯まっていたため, 細菌感染は完全には沈静化してなかったようでした. 術後の経過は良好でしたが, 朝は嘔気のため朝食を摂れなかったとのことでした.
8時からは後輩医師とともに病棟回診を行い, 8時半には外来に下りました.
午前中は28名の患者さんを診察しました.
この日の外来には, 先輩医師の整形外科クリニックから紹介された中学生の患者さんが受診されました.
軟式テニス部の部長を務める活発な生徒さんで, 1カ月ほど前から右肩の痛みを訴えていたとのこと. 前医のX線写真では, 上腕骨近位部に骨膜反応が指摘され, 骨腫瘍の可能性が懸念されていました.

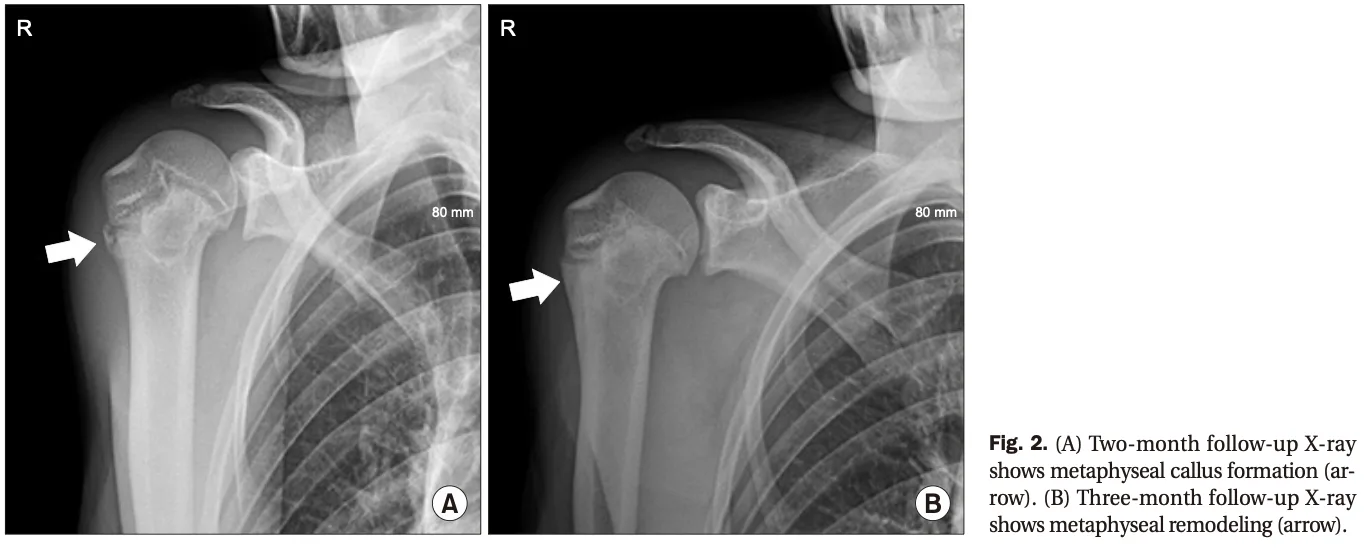
これは, 上腕骨の近位骨端線損傷に対する修復過程で認められます.
3ヶ月後のX線写真(B)では, 新しく作られた骨が成熟して, 普通の骨に変化しています.
引用元:Park JY. Little league shoulder: case reports. Arthrosc Orthop Sports Med. 2020. 7.
当院でX線およびCTを再撮像しましたが, 腫瘍性病変は認められませんでした.
成長軟骨(骨端線)の開大がみられ, 『リトルリーグ肩』(上腕骨近位骨端線損傷)と診断.
投球動作に似たサーブ練習の繰り返しによる, 成長期特有のスポーツ障害と判断しました.
当面の運動休止と, 紹介元での経過観察をお願いする返書を作成しました.
午後の病院での仕事
14時からは, 大学時代の同級生のお母様で, 骨粗鬆症治療中の患者さんを診察しました.
その後, 製薬会社の担当者と面談し, 新薬に関する情報提供を受けました.
午後は手術の予定がなかったため, 来週手術予定の患者さんのプレゼン資料を作成し, 明後日の手術に向けて文献を読んで, 勉強しました.
16時半からは後輩医師とともに夕方の病棟回診を実施.
入院患者は74名で, そのうち39名が自分の担当でした.
朝に嘔気を訴えていた人工肩関節抜去後の患者さんは, 昼食を摂れるまでに回復し, 自力歩行も再開されていました.
17時過ぎに病院を出ると, 空は相変わらずの曇天でしたが, 気温はやや高く, 秋のわずかな暖かさを感じました.
休息日
昨日, ChatGPTに作ってもらったトレーニングプログラムでは, 今日は休息日.
そのため, トレーニングは軽い筋トレのみに留め, エアロバイクはお休みにしました.
身体を少しだけ動かして, 一日を静かに締めくくりました.




コメント