大腿骨頚部骨折からスキー復帰までの毎日の出来事を綴ります

手術日+600日目 2025/10/20(月)(骨内異物除去術)
午前の病院での仕事今朝は曇り空. 気温は15 ℃に届かず, ワイシャツ一枚では肌寒く感じる朝でした.昨日は当院が整形外科の救急輪番だったこともあり, 少し早めに出勤しました.病棟に上がり電子カルテを確認すると, 脚立から転落し大腿部を強打し...

手術日+599日目 2025/10/19(日)(休日)
ブログ記事の見直し今朝は8時過ぎに目を覚ましました.カーテンの隙間からのぞく空は, 薄い雲に覆われた柔らかなグレー.ここ数週間, 週末は外出続きだったこともあり, 今日は家でゆっくり過ごすことにしました.朝食を済ませたあとは, コーヒーを片...

手術日+598日目 2025/10/18(土)(熊出没注意)
午前の病院での仕事今朝は8時半前に病棟へ. 昨日, 心不全の治療を開始した超高齢患者さんの容態を確認しました.強心剤が奏功し, 血圧は安定. 尿量も十分で, 酸素飽和度も改善しており, ひとまず安心しました.続いて, 昨日手術を行った大腿骨...

手術日+597日目 2025/10/17(金)(心不全)
午前の病院での仕事と慢性心不全の急性増悪の患者朝, 病院に向かう途中, 空は澄み渡り, 遠くの山々が紅葉で染まって見えました. 久しぶりの秋晴れです.8時から後輩医師とともに病棟回診を開始. 昨日, 後輩が執刀した両側人工膝関節全置換術の高...

受傷日+596日目 2025/10/16(木)(さんますり身)
午前の病院での仕事今朝は, どんよりとした曇り空.通勤途中から小雨が降り出し, 今日は一日雨の予報でした.8時前に病棟へ上がり, 昨日, 後輩医師の執刀で両側の変形性膝関節症に対して両側同時に人工膝関節全置換術を受けられた患者さんの経過を確...

手術日+595日目 2025/10/15(水)(外科系医師の会)
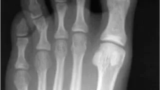
午前の病院での仕事と肋骨骨折と足趾開放骨折の急患今朝は曇り空のスタートでしたが, 雲の切れ間から青空がのぞきました。季節の変わり目らしい, 少しヒンヤリした空気の中, いつものように出勤しました. 8時から後輩医師とともに朝の病棟回診を行い...

手術日+594日目 2025/10/14(火)(胸椎圧迫骨折)
午前の病院での仕事今朝の気温は15 ℃. 秋の空気がひんやりと肌を撫で, 出勤時には上着が欲しくなるほどでした. 天気予報によると, 来週からは最低気温が一桁に下がるとのこと. いよいよスキーシーズンも間近です.8時前に病棟に上がり, 電子...

手術日+593日目 2025/10/13(月)(松茸三昧)
天気予報がハズレた目覚ましを8時にセットしていたのに, 気づけば二度寝、三度寝. 最終的に起き上がったのは10時半でした. 今日は, 山形県高畠町の『高畠ワイナリー』で開催されているハーベストフェスティバルに行く予定でした. しかし, 昨日...

手術日+592日目 2025/10/12(日)(丸沼高原)
秋晴れ秋晴れの『ホテル亀の井 奥日光湯元』.目が覚めると, カーテン越しにやわらかな光が差し込んでいました. 窓を開けると, 空は一面の青. 昨日の雨が嘘のような, 澄み切った秋晴れです.8時からの朝食を終え, 温泉にもう一度入ろうとしまし...

手術日+591日目 2025/10/11(土)(奥日光湯元温泉)
回 診今朝は8時半過ぎに病院へ出勤. 昨日, 再々手術を行った膝蓋骨骨折の後期高齢患者さんの経過確認のためでした. 看護記録を確認すると, 夜間の経過は良好. 病室を訪ね, 創部を診察すると出血はごくわずかで, 腫脹もなく順調と判断しました...