午前の病院での仕事と急性心筋梗塞の患者

今朝は, 放射冷却の影響で一気に冷え込みました. 澄み渡る秋空の下, クルマの外気温モニターはついに4℃を示し, 肌を刺すような冷気に思わず肩がすくみました.
8時から後輩医師とともに朝の病棟回診. 幸い, 新型コロナやインフルエンザの患者さんは現在のところ見られません.
8時半から外来降りて, 午前中は33人を診療. 10時過ぎに, 受付から「左胸と背中の痛みと左腕のしびれを訴える患者さんが受付に来ているが診てもらえますか」との問い合わせがありました. 予約枠は埋まっていましたが, 待ち時間があることを説明したところ, 待っていますとのことだったので, 受付してもらいました.
12時半に予約分の外来診療を終えたところでその後期高齢患者さんを診察. 左胸と背部の痛みを訴えられており, 神経痛や頚椎由来の可能性を考えて, 身体所見を確認しましたが, 頚椎や胸椎に異常は認めず, 左腕の筋力・知覚も正常でした. X線では加齢性変化のみ. 念のため胸部CTと血液検査も追加しました。
やがて検査室から一本の電話がきて, 「トロポニンTが陽性です」との報告.
『心筋トロポニンT』は, 心筋の筋原線維を構成する蛋白の一部で, 心筋が損傷した場合, 迅速に血中に逸脱して, 心筋損傷の指標となります. 陽性であれば, 急性心筋梗塞と判断できます.

胸の前方の他に, 頭や首, 肩や背中, お腹の痛みを訴える場合もあります.
心電図を追加すると, V2〜V5誘導でSTが上昇しており, 診断確定です.
ただちに安静を指示し, 心電図モニターを装着後, 硝酸薬『ニトロペン』舌下, 鎮痛薬『ソセゴン』静注. 紹介状を作成して, 病診連携室経由で大学病院の循環器内科へ転送を依頼しました. すぐに受け入れが決まり, 救急車で搬送.
若い頃, 救急当直で肩痛や背部痛を訴える患者の中に急性心筋梗塞や解離性大動脈瘤が潜んでいたことを何度も経験しました. あの頃の臨床感覚が, 今日も自分を地雷例から助けてくれた気がします.
患者さんを送り出して, ようやく一息. 時計は13時半を過ぎていました.
午後の病院での仕事と前腕骨遠位端骨折・踵骨骨折の急患
昼食を摂っている最中に, 今度は屋根から転落した中高年患者の救急搬送受け入れ要請が入りました. 手首と足首の変形と腫脹が強く, 骨折が疑われるとのこと. 午後も外来診療があるので, それが終わってからの診察になると返事したところ, 他をあたるとのことで, 電話が切れました.
14時に外来に戻って, 3人の患者さんの診療中, また救急隊から電話があり, 6カ所で断られたので, 受け入れを再度お願いされ, 来ていただくことになりました.
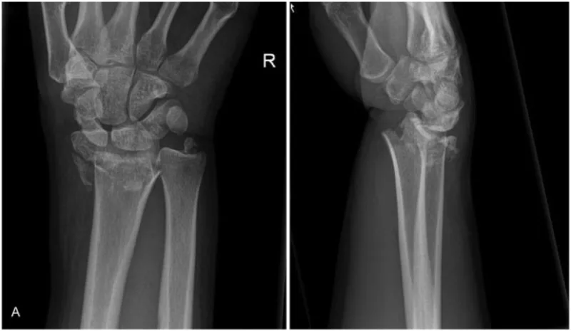
15時過ぎに救急車到着. 手関節はフォーク状変形を呈し, 橈骨遠位端骨折を強く疑いました. 足部も腫脹と変形が顕著で, 踵骨骨折の可能性大. X線とCTを迅速に撮像しました.

結果は, 手舟状骨骨折, 橈骨遠位端骨折, 尺骨茎状突起骨折, さらに踵骨骨折を合併. それぞれ透視下で整復し, ギプス副子固定を実施しました. 帰宅を希望されましたが, 歩行困難のため, 家族の説得もあり入院となりました.
16時半からは病棟回診. 入院患者は75人, そのうち43人が自分の担当です. 入院指示や検査オーダーを入力して, 17時半過ぎに退勤.
怒濤の1日でした.
トレーニング
18時からはエアロバイクでLSDトレーニングを60分. 心拍数120 回/分前後をキープしながら, 淡々とペダルを回しました. 汗とともに日中の激務で疲れた体もリカバリしました.
スキーのチューンナップ

茨城県の 『モンスタージャパン』 さんにチューンナップをお願いしていたスキー板が戻ってきました.
今年はタイミングを逃してしまい, 発送したのは10月上旬. ホームページには「納期3カ月以内」とあったので, 来月の初滑りに間に合うか少し気を揉んでいましたが, わずか3週間で帰還. さすがの仕事ぶりです.
梱包を解くと, いつもながらの丁寧な仕上がり.
一部焼けて鈍っていたエッジも, 見事に蘇り, 刃のような鋭さを取り戻しました.
あとは, スキー場オープンの知らせを待つのみ.
冬の足音が, 少しずつ近づいてきました.

コメント