午前の病院での仕事とひじの軟部肉腫の患者
今朝はしっとりとした雨の朝.
昨日より気温がぐっと下がり, 肌寒さを感じました.
長袖のワイシャツに袖を通し, 秋の気配を感じながら出勤しました.
8時前に病棟に上がり, 昨日後輩医師が執刀した2例(変形性膝関節症に対する人工膝関節全置換術, 脛骨近位骨切り術後の骨内異物除去術)の術後経過を確認.
いずれも問題なく, 順調にけいかされていました.
その後, 8時から後輩とともに朝の病棟回診を行いました.
8時半からは外来へ.
午前中は24人の患者さんを診察しました.
その中に, 印象に残る一人の紹介患者さんがいらっしゃいました.

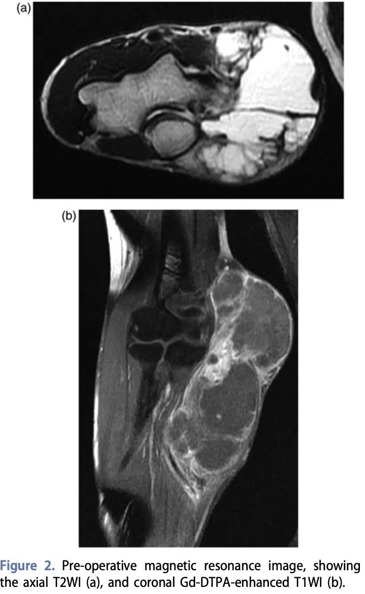
造影MRI(b)では, 腫瘍の内部に造影されない(血行障害で腫瘍が死んでしまった(壊死えし))領域があることが悪性腫瘍の特徴です.
3カ月前から右肘に腫瘤を認め, 1カ月前に先輩医師のクリニックでMRI検査を受け, 軟部腫瘍を指摘された高齢の方でした.
紹介状の日付は4週間前. 腫瘍は, 1カ月の間に4 cm大から5 cm大へと増大していました.
造影MRIでは, 腫瘍内部に血流の乏しい壊死領域が確認されました.
これは悪性軟部腫瘍(軟部肉腫)を強く示唆する所見です.
すぐに生検と病理組織検査が必要と判断し, 大学病院へ紹介することにしました.
患者さんには, 悪性の腫瘍が強く疑われるので, 来週, 必ず大学病院を受診するように念を入れて説明しました.
新薬の説明会
13時からは製薬会社の担当者と面談.
話題は, 『神経線維腫症I型』のうち『 叢状(そうじょう)神経線維腫』に対する分子標的治療薬『コセルゴ』でした.
この薬は2022年の発売当初, 小児・思春期(3〜18歳)を対象としていましたが, 今年8月に成人(18歳以上)への適応が拡大されました.
今のところ外来で診ている叢状神経鞘腫の患者さんはいませんが, 大学勤務時からだと同様の患者さんをこれまでに50人強診療してきました.

治療開始前(A), 治療開始3ヶ月後(B), 7ヶ月後(c).
痛みなどの症状があっても手術ができないような部位に病変がある患者さんにとっては, 治療の選択肢が増えたことになります. 薬価は高額で, 特殊流通ルートを経るため, 対象となる患者さんが現れた場合は担当者へ直接連絡することになります.
13時半に自分の部屋に戻ってランチを摂りました.
午後の病院での仕事
午後は来週の手術カンファレンス用スライドの作成, 転院患者さんの診察, 入院患者さんへの処置や指示出しを行いました.
16時半からは後輩医師とともに夕方の病棟回診.
入院患者は74人, そのうち37人が私の担当でした.
17時前に病院を出ると, 冷たい雨がしっとりと降り続いており, 季節がまた一歩進んだことを感じました.
夕 食
帰宅後, テレビのニュースでは仙台市宮城野区や仙台港周辺で短時間の豪雨による冠水被害が報じられていました.
18時前からは軽めのリカバリーとして, 30分だけエアロバイクを回しました. 汗を流すことで, 頭の中も少し整理されます.
夕食は, 埼玉県川越市へのふるさと納税の返礼品『ぎょうざの満州』. 厚めでもちもちした皮と, あふれる肉汁のアン. 噛むたびにじゅわっと広がる旨味が, 今日一日の疲れを癒やしてくれました.


コメント