午前の病院での仕事
今朝は久々の雨.
気温は高く, 14 ℃.
スキー場の雪も溶けてしまうなあと考えながら出勤.
8時前に病棟に上がって, 昨日後輩医師の執刀で両側の変形性膝関節症に対して, 左右同時人工膝関節全置換術が行われた中高年患者さんの経過を確認.
問題なく経過されていました.
8時から朝の病棟回診.
8時半に外来に降りて, 午前中は29人の患者さんを診療しました.
新規の患者さんが3人紹介されて受診されました.
今日中に検査して, 方針を決めることに.
多発性骨髄腫の筋肉内腫瘍
新規患者さんのうちの一人は, 造影MRIの結果, 軟部腫瘍と診断し, 生検が必要でした.
しかし, 他院の血液内科で多発性骨髄腫の治療中だったため, 病状照会を行ってから, 予定することにしました.
多発性骨髄腫は, 骨に生じる悪性腫瘍です.

通常, 骨の中(骨髄)に病変を形成しましすが, 15 %程度の患者さんでは, 骨以外の部位にも病変を生じることがあり, まれに筋肉の中にも腫瘍を形成することがあります.
それに該当するのかどうか, 今後検査で明らかにする必要があります.
検査が長引いたため, 外来を終了したのは13時半になりました.
午後の病院での仕事と脛骨遠位部骨折の手術
13時半から, 後輩医師の執刀で脛骨遠位部骨折の手術があるため, 5分で昼食を摂って, 手術部に.
13時半過ぎからの手術開始に間に合いました.

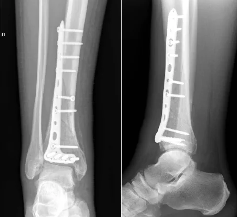
本日の手術は, 43A2.3でした.
脛骨骨折のAO/OTA分類は, 43A2.3でした.
骨折部を展開して, 元の形に戻しましたが, 腓骨は骨折しておらず, 短縮した脛骨を元の形に戻すのに難渋しました.
脛骨を整復した後, チタン合金製のプレートを前から外側にかけてあてがって, ネジで固定.
後期高齢者のため骨が弱くて, ネジをたくさん入れる必要がありました.

1時間ほどかけてプレートをネジで留めたところで, あとは後輩医師に任せて, 手術部を出ました.
15時過ぎに外来に戻って, 午後の診療を開始.
臨時手術で予約時間から遅れてしまったことを謝りつつ, 予約の患者さん9人の診療を行いました.
16時過ぎに終了.
その後, 病棟の仕事を片付けて, 16時半から夕方の病棟回診.
入院患者さんは90人, 自分が主治医となっているのは44人でした.
17時に病院を出ましたが, 雨が降り続いていました.
事務作業
今日も病院外の事務所で事務作業.
17時半前から20時過ぎまで, 3時間弱パソコンの画面上で, 書類をチェック.
眼が疲労しました.
進捗は, 80 %ほどで, 明日には終えられそうです.
自転車トレーニング
帰宅後, 夕食.
今晩は, メンチカツでした.
20時半過ぎから, 自転車トレーニング.
今日は, VO2max 3分 x 5本.
キツかったですが, やり遂げました.

コメント