午前の病院での仕事と検診
今朝は晴れ.
そういえば, ずいぶんと雨が降っていません.
今日は, 検診があるので, 朝食抜きで出勤.
8時前に病棟に上がり, 8時から朝の病棟回診.
回診後, 健診センターへ移動.
血液検査, 尿検査, 心電図検査, 視力・聴力検査, 胸部X線撮影などを順番に受けました.
9時過ぎからは, 上部消化管内視鏡(通称: 胃カメラ)検査.
例年問題ないので, 今日は5 mmの細い内視鏡で行いますとのこと,
確かに, つらさは昨年よりも少し軽く感じましたが, やはりキツかったです.
結果は, 異常なし.
これで, また, お酒が飲めます.
9時半に外来に戻って, 10時から外来診療を開始.
元々, 予約の患者さんを絞っていたので, 10人だけでした.
12時に外来診療を終了.
午後の病院での仕事
朝食抜きだったので, 空腹のため, 昼食には, いつもの鶏ハム+バナナの他に, カップ麺もいただきました.
14時から病棟の処置や指示出しの仕事.
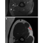
15時過ぎに外来に降りて, 腰痛の急患と指骨の内軟骨腫の患者さんに造影MRIの結果説明.
来月の手術を希望されました.
その後も休む間もなく, 処方やサマリ作成などの病棟の仕事を続けました.
16時半から夕方の病棟回診.
入院患者さんは84人, 自分が主治医となっているのは42人でした.
妻の誕生日
今日は, 妻の誕生日.
17時過ぎに病院を出て, 帰りに酒屋さんに寄って, シャンパーニュを購入しました.
ウチでは, 誰かの誕生日とキリストの誕生日には, シャンパーニュを飲むことにしています.
明日の夜は, 医局の送別会があります.
大学病院から来られていた後輩医師が異動するので, 餞別として, ドンペリニヨン ビンテージ2012年も購入.
帰宅後, いつものストレッチと筋トレ.
入浴して, こどもの帰宅を待ちましたが, なかなか帰ってこず.
転勤前のため, 引継ぎの残業があり, 帰宅は22時前でした.
22時過ぎから, 妻の誕生日ディナー.

買ってきたアンリ・ド・ヴォージャンシーのロゼで乾杯.
ラベルには, BRUIT(辛口)とありましたが, 甘口でした.
先日, 割ってしまったバカラのシャンパーニュグラスベガを箱から出して, 初めて使用.
割らないように, 慎重に乾杯しました.
ノートパソコン更新
現在使っているのが, MacBook Pro(16-inch, 2021)M1 Max.
5年経って, 何時壊れるか判らないので, 先日出たMacBook Pro (16-inchi, 2026) M5 Proを購入しました.
注文したのは一昨日でしたが, 本日到着.

見たところは, 違いはほぼありません.
データ移行は, Thunderboltで1時間くらいで, 予想外の速さで終了.
大学で臨床教授をしているので, Apple学生・教職員ストアで購入.
メモリ24GB, ストレージ1TBで415,800円でしたが, 下取りが10万円, キャンペーンで24,000円のギフトカードバックがあったので, 実質30万円弱でした.
通常価格は, 約45万円なので, 15万円お得に買えました.



コメント