午前の病院での仕事
今朝も冷え込みが強く, クルマのフロントガラスは凍結していました.
8時前に出勤.
昨晩は当院が整形外科輪番だったため, まず病棟で電子カルテを確認.
大腿骨頚部骨折の超高齢患者さんが1人, 新たに入院していました.
8時から朝の病棟回診.
8時半からカンファランス.
本日は, 総合診療科医師による症例報告.
その後, 手術前カンファランス.
9時前に外来へ.
午前中は28人を診療.
紹介新患が4人来られたので, 時間を要しました.
12時半に外来終了.
異型脂肪腫様腫瘍再発疑いの生検
9年前に当科で前腕腫瘍を摘出した高齢患者さんが, 2年ぶりに受診.
手術瘢痕の近くに腫瘤を自覚されたとのこと.
病名は, 異型脂肪腫様腫瘍.
良性と悪性の中間に位置付けられる脂肪性腫瘍です.
良性腫瘍と異なり, 再発することがありますが, 悪性腫瘍のように転移することはありません.
しかし, まれに悪性化(がん化)して, 脱分化型脂肪肉腫という悪性腫瘍に変化することがあります.
もともとは30年前に良性の脂肪腫として他県の病院で非専門医師により摘出.
4年後に再発.
宗教上の理由で輸血を拒否されており,
紹介されたがん専門病院で「無輸血手術は不可」と断られ,
他県から私を頼って来院されました.
再手術時, 腫瘍と皮下脂肪の境界は不明瞭.
可能な限り広範囲に皮下脂肪を切除して, 残った筋膜に皮膚を貼り付けるように縫合しました.
しかし3年後に再々発し, 再度摘出術.
その後, 9年間は無再発で経過していました.
異型脂肪腫様腫瘍の患者さんの手術後は, 年1回MRIを撮像しながら, 10年以上経過観察する方針としていますが, 遠方のため, 2年前を最後に受診されていませんでした.

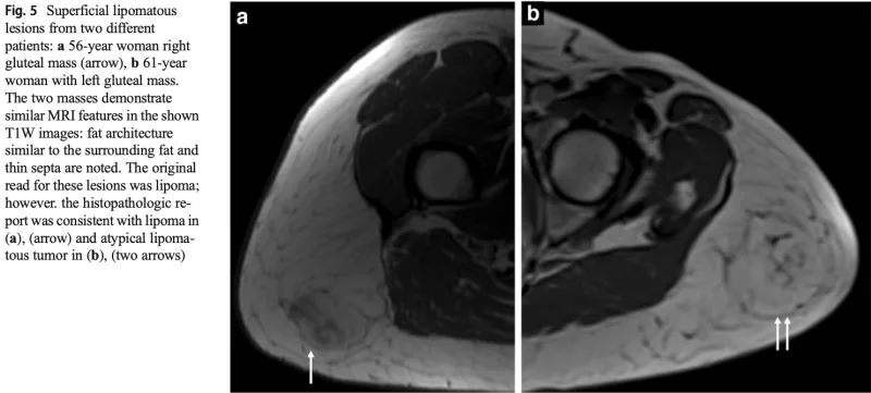
aは良性の脂肪腫, bは良悪性中間型の異型脂肪腫様腫瘍.
どちらも皮下脂肪との境界が不明瞭です.
MRIを撮像した結果, 皮下脂肪の肥厚を認めるものの, 腫瘍の再発かどうかは判断できませんでした.
腫瘍の再発を疑って, 生検を行うことに.
12時半過ぎから外来処置室で, 局所麻酔下に皮膚を切開して, 脂肪の一部を採取.
病理組織学的検査に提出し, 2週間後に結果を説明する予定です.
午後の病院での仕事
昼食後, 14時に手術部に移動.
14時過ぎから, 大腿骨転子部骨折の超高齢患者さんの手術.
執刀は, 後輩医師で, 大学病院から診療応援に来ていただいた若手医師に助手に入ってもらって, 私は, 見守っていました.

15時から, 先週手術を行った下腿骨骨折の若年成人患者さんに超音波骨折治療機会『アクセラス2』を装着するために中座.
昼前にX線透視装置で骨折部の皮膚に油性ペンでマークを付けておき, そこに器械を当てて治療する手順を, 医療器機会社の担当者に説明してもらいました.
松葉杖で移動できるようになったため, 明日, 退院することになりました.
16時からは, 多職種での病棟回診.
入院患者さんは91人, 自分が主治医となっているのは45人でした.
17時過ぎに病院を出ました.
気温は, 8 ℃と朝とは打って変わって暖かく, 春の気配を感じました.
トレーニング再開
帰宅後, 右膝の痛みが緩和したので, 自転車トレーニングを再開.
今日は, LSD 60分.
室内も暖かいせいか, 大分発汗しました.
右膝の痛みを感じることなく, 完走.
スキーにも復帰できそうです.
明日のスキーは休み
夕食時は, オリンピックの女子スノーボードクロスを観戦.
滑っている選手は大変でしょうが, 抜きつ抜かれつで, ワクワクしました.
明日は, 研究会があります.
研究会の監事を務めているので, 幹事会に参加しないといけません.
午前中だけ滑りに行くかどうか検討しましたが, 時間的にかなり厳しいので, スキーはお休みです.


コメント