午前の病院での仕事
今朝は雲ひとつない快晴.
冬らしい澄んだ青空でしたが, 天気予報では「夜から雪」.
朝の空気からはとても想像できませんでした.
8時前に病棟へ.
昨日, 後輩医師が執刀した脛骨近位骨切り術と関節鏡下半月板縫合術の患者さん2人の経過を確認.
どちらも順調な経過で安心しました.
8時から朝の病棟回診.
発熱した患者さんがいたので, コロナ・インフルエンザの抗原検査をオーダー.
その後, 外来へ移動し, 午前中は28人を診療.
途中で, 発熱と腰痛で動けなくなった中高年患者さんの救急搬送要請が入りました.
隣町からで, すでに6つの病院に受け入れを断られているとのことでした.
午前中は目一杯仕事が入っていて, 午後には手術があるので, 診療できるのは6時間後になると伝えましたが,
「それでも構わない」
とのことで受け入れることにしました.
12時すぎに外来を終了し, 病棟で手術説明.
間もなく救急車が到着.
40 ℃の発熱があり, コロナ・インフルエンザの抗原検査は陰性でした.
しかし, 疑わしいため, 救急外来の陰圧室で待機していただくことに.
病棟で発熱していた患者さんは, 検査の結果コロナ・インフルとも陰性.
尿路感染と診断し, 抗菌薬を開始しました.
13時過ぎにようやく自分の部屋に戻り昼食.
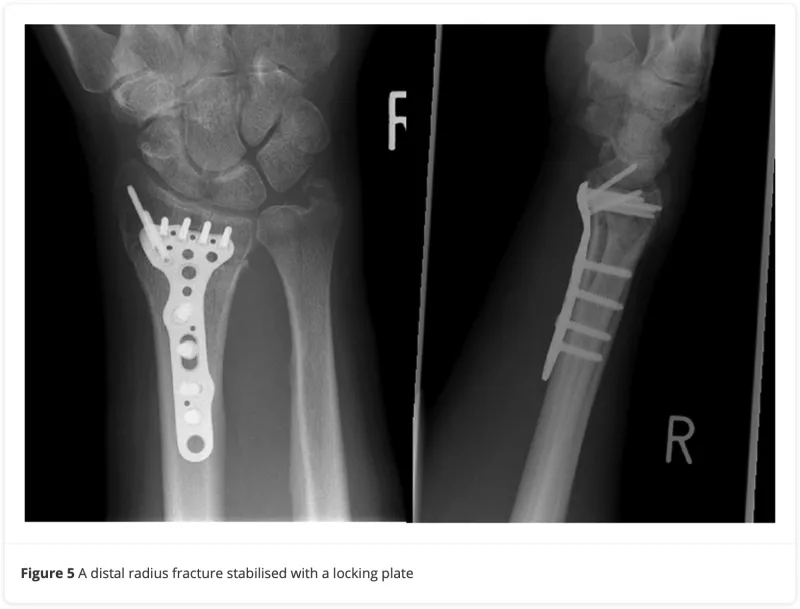
午後の病院での仕事と掌側Barton骨折の手術
13時半前に手術部へ。
本日の手術は掌側Barton骨折。
後輩医師が執刀し, 自分は現場監督に徹しました.

引用元:Lim JA. Perioperative management of distal radius fractures. J Perioper Pract. 2020. 31.
橈骨遠位端に解剖学的形状の金属製の板(掌側ロッキングプレート)をあてて, スクリューで固定する方法です.
手術は1時間半弱でスムーズに終了.
病棟に上がって, ご家族に無事に終わったことを報告しました.
発熱と腰痛の急患
その後, 救急外来へ.
ストレッチャー上の患者さんは腰痛で身動きがとれない状態.
糖尿病のコントロールが不良で, 化膿性脊椎炎も念頭にMRIを撮像しましたが, 所見なし.
さらに造影CTもオーダーしていましたが, 痛みのためムリとの訴えで, 中断.
発熱の原因は判りませんが, 急性腰痛症(いわゆる「ぎっくり腰」)と診断し, 起き上がれないため入院に.
16時から夕方の病棟回診.
入院患者は65人, 私が主治医の患者さんは29人でした.
17時すぎに病院を出ましたが, 薄曇りで満月もうっすらと見えて, 気温も高め.
本当に雪が降るのか半信半疑のまま帰路へ.
忘年会1回目
18時半からは大学の同級生3人と忘年会.
先日の祝賀会で会った同級生に頼まれ, 私が幹事として日程調整と会場の予約をしました.
うち2人は当院で非常勤として働いてくれており, 慰労の意味も込めての会でした.

今回は奮発して『てっさコース』.
久々の再会もあって話題は尽きず, 近況報告から同級生の消息, 来年の診療報酬改定まで, 多岐にわたり盛り上がりました.
気づけば2時間半が経過.
21時過ぎにまたの再会を約束して散会.
帰りのバスを検索すると, 次は30分後.
「歩けば40分で帰れる」
と判断し, そのまま歩いて帰宅.
西風が強く砂埃が舞っていましたが, 歩くうちに体が温まり, 寒さは感じませんでした.
結局45分の歩行となり, 良い運動に.
帰宅後すぐに入浴しましたが, 歩いたせいか酔いが回り, そのまま炬燵で眠ってしまいました。




コメント