午前の病院での仕事と肋骨腫瘍の患者
今日も秋晴れ.
気温はやや高めでしたが, 車のフロントガラスには朝露がびっしり. 季節の移ろいを感じる朝でした.
8時前に病棟に上がり, 8時から朝の回診.
続いて8時半から講堂でカンファレンス. 口腔外科の先生による人工骨リン酸オクタカルシウム・コラーゲン複合体に関するご講演を拝聴しました. 開発から基礎研究, そして臨床応用, 保険収載から市販までの内容で, とても興味深いものでした.
その後, 来週予定している5件の手術カンファレンスを行いました.

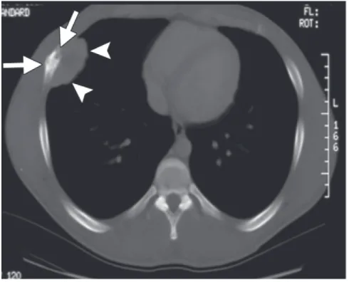
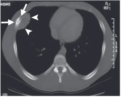
骨が壊れていて, その周りに腫瘤(骨外腫瘍)が形成されています.
9時前に外来に降りて, 18人の患者さんを診療.
隣市の整形外科クリニックから, 肋骨腫瘍の若年成人の方が紹介されて来院されました.
持参されたCTでは, 骨が虫喰い状に破壊されており, ユーイング肉腫(Ewing sarcoma)など悪性骨腫瘍が疑われる所見. 造影MRIを急遽オーダーしました.
また, 肩の軟部腫瘍を有する中高年の患者さんも受診され, こちらも造影MRIを撮像することに.
9時過ぎには救急隊から, 6日前に転倒してから歩行困難となった後期高齢者の搬送受け入れ要請. 予約患者優先で2時間待ちになる旨を伝えましたが, 了承を得て受け入れました.
11時過ぎに救急外来で患者さんを診察. 殿部痛を訴えられ, 仙骨を圧すと強い痛みがあり, 仙骨骨折を疑いX線とCTを撮像. しかし, 明らかな骨折はなく, MRIでの不全骨折評価を勧めました.
背中からふとももにかけて立派な刺青があり, MRIによる熱傷リスクを説明しましたが, 「それでも診断を」とのご家族の希望もあり, 撮像を実施しました.
この時点で臨時のMRIが3件. 結果が出るまで, しばらく時間を要しました.
12時過ぎから午後に生検を予定している患者さんに麻酔と手術の説明を行い, 13時前にやっと昼食のため一息つきました.
午後の病院での仕事とリンパ節針生検

13時半に手術部へ.
本日の手術は, 腋窩リンパ節の針生検. 約4cm大に増大したリンパ節に生検針を刺入して, 20分弱で検体を採取しました.
1年前からリンパ節炎を疑って経過観察していたところ, 一時縮小したものの, 今月撮像下MRIで増大傾向が認められ, 可溶性インターロイキン-2受容体(sIL-2R)も420 から860U/mL台に上昇(基準値:157~474(U/mL)). 悪性リンパ腫を疑って, 今後は血液内科へ紹介予定です.

外来に戻ると, 先ほどの仙骨骨折疑い患者さんのMRI結果が到着.
幸い刺青の火傷はなく, 骨折も認めませんでした.
腸骨筋と大殿筋内に血腫を認め, 筋肉内血腫と診断. 歩行困難のため, 入院加療することになりました.

T1強調画像(a)では, 皮下脂肪と同じように白く写り, 脂肪抑制画像(b)では黒く写ります.
脂肪抑制下造影T1強調画像(c)では, 造影効果が認められず, 白くなりません.
続いて肩の軟部腫瘍のMRIを確認. 腫瘍の内部は均一な脂肪信号であり, 脂肪腫と診断しました. 手術希望時に再診していただくことにしました.

肋骨の内側と外側に腫瘤の形成が認められます.
引用元:Salimbene O. Primary chest wall Ewing sarcoma: Treatment and long-term results. Life 2024. 14.
最後に肋骨腫瘍の若年患者さんの造影MRIを確認. 骨内から骨外へ進展する腫瘍を認め, ユーイング肉腫を強く疑いました. 大学病院整形外科での診察を手配しました.
気付くともう16時. 急いで病棟に上がり, 病棟スタッフ(看護師・リハビリ・医療ソーシャルワーカー)と多職種回診を実施.
17時半に病院を出る頃には, 予報通り雨が降り始めていました.
事務仕事
3連休前の金曜夕方ということもあり, 道路はいつもより渋滞気味.
18時過ぎから1時間ほど病院外の事務所で事務作業を行いました. ノルマの半分ほど終えたところで, 帰宅しました.
こどもの誕生日
昨日は, こどもの誕生日だったので, 今夜は誕生日祝いでした.

わが家では, 誕生日とクリスマスにはシャンパーニュを開けるのが恒例.
今夜の一本は, イヴ・ルーヴェの「セレクション・デミル」.
果実味が豊かで, Brut(ブリュット=辛口)の割には, ほのかな甘み. ドライすぎず, やわらかな印象のシャンパーニュでした.
静かな夜に, 家族の笑顔とともに味わう一杯. 忙しかった今週の締めくくりに, 心がほどける時間となりました.

コメント