午前の病院での仕事と肋骨骨折と足趾開放骨折の急患
今朝は曇り空のスタートでしたが, 雲の切れ間から青空がのぞきました。
季節の変わり目らしい, 少しヒンヤリした空気の中, いつものように出勤しました.
8時から後輩医師とともに朝の病棟回診を行い, 8時半から外来診療を開始.
この日は23人の患者さんを診察しました.
今朝, 自宅で一時的に意識を失った超高齢の方. 脳外科医師の診察では異常が認められませんでしたが, 転倒後から全身の痛みを訴えており, 当科に紹介されました.
両肘と殿部に擦過傷があり, 背部から腰にかけて痛みを訴えています.
胸部を触診すると, 右背部の肋骨が沈む感触があり, 骨折を疑ってCTを撮像しました.

第12肋骨(costa XII)は先端が肋軟骨と連続していないため, 浮遊肋と呼ばれます.
引用元:Anatomy Standard
CTの結果, 第12肋骨骨折と診断しました.
意識消失を伴う転倒であり, 最近の転倒傾向もみられるため, 経過観察と心疾患精査を目的に入院.
24時間のホルター心電図検査を開始しました.
続いて, 外科開業医の先生から「足の指の骨折患者を紹介したい」との連絡.
仕事中に金属製の部品を足に落として受傷した若い方でした.

引用元:Hatch RL. Evaluation and management of toe fractures. Am Fam Physician. 2003. 68.
12時過ぎに患者さんが来院.
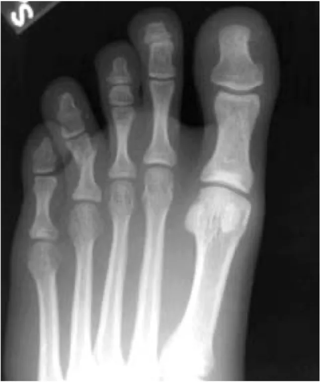
第4足趾の基節部に裂創があり, 前医で縫合されていましたが, X線写真を見ると裂創の下で基節骨が骨折してずれていました。
骨折した骨を元の形に戻して, 針金(鋼線)を刺し込んで固定する手術(経皮的鋼線刺入固定術)が必要な状態でしたが, 開放骨折のため感染リスクを考慮し, 数日経過を観察してから手術を行う方針としました.
13時半前に診療を終え, 自室で簡単な昼食をとりました.
午後の病院での仕事
午後は手術がなかったため, 書類整理に集中.
ドキュメントスキャナーで資料をPDF化し, ようやく全体の2割ほどをデジタル化できました.
16時半から後輩医師と夕方の病棟回診.
入院患者さんは81名, 自分が主治医を務めるのは42名に増えていました.
外科系医師の会
18時半から, 市内の外科系医師の会へ.
今回は当院が幹事でした.
この会は, 一般外科(消化器・乳腺・胸部など), 整形外科, 脳外科, 心臓血管外科など, 幅広い外科系医師が集う親睦の場で, 50年以上の歴史を持ちます. 入会は推薦制で, 現在の会員は約50名. 今回は21名が出席されました.
新型コロナ感染症の影響で中断していましたが, 実に6年ぶりの開催.
大学病院時代にともに働いた先生方, 開業医の先生方と久々に再会し, 地元の日本酒を酌み交わしながら, 近況を報告しあって, 旧交を温めました.
医療の現場は変わっても, 医師同士のつながりの大切さを改めて感じました.


コメント